Póster
Nº 082

IICVHAPp.gif (9537 bytes)

IndiceIndice

NEUROPATÍA TRIGEMINAL IDIOPÁTICA VERSUS SCHWANNOMA DEL TRIGÉMINO.
ESTUDIO CLÍNICO-PATOLÓGICO DE UN CASO

Santiago Madero, Jaime Domínguez*, Carolina Ibarrola y Ramiro D. Lobato*

Comentarios

[TITULO] [INTRODUCCIÓN] [PACIENTE Y MÉTODOS] [RESULTADOS] [ICONOGRAFÍA] [ICONOGRAFÍA-2] [DISCUSIÓN] [AGRADECIMIENTOS] [BIBLIOGRAFÍA]

RESULTADOS

ICONOGRAFÍA-2


ICONOGRAFÍA

fig. 1
Fig. 1. Imagen coronal de MRI con contraste ponderada en T1 en la que se observa una captación nodular del trigémino derecho en su zona de salida de la protuberancia, sugestiva de schwannoma trigeminal.

 

fig. 2
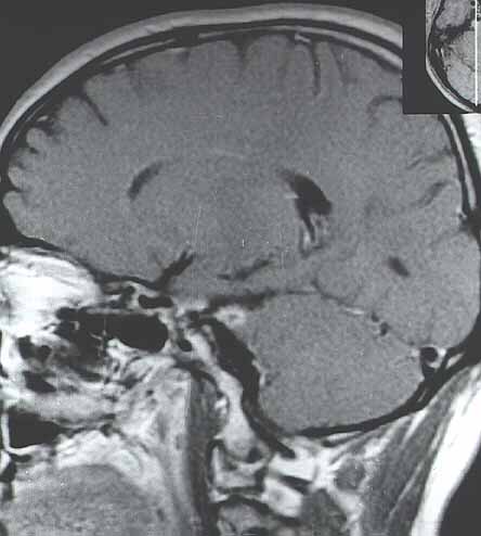
Fig. 2.Imagen sagital con las mismas características que las de la Fig. 1.

 

fig. 3
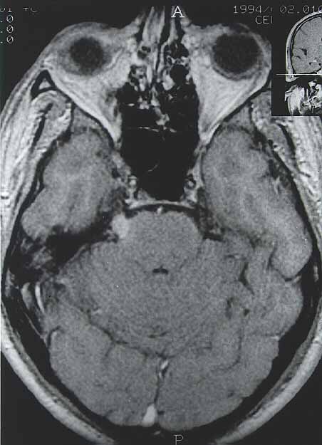
Fig. 3. Imagen axial con las mismas características que las de la Fig. 1.

 

fig. 4
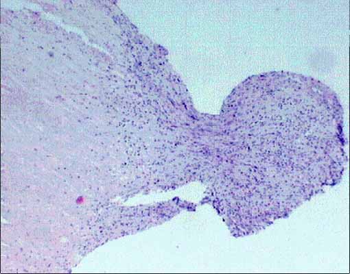
Fig. 4. Imagen panorámica de parte de la muestra remitida en la que se observan el segmento de nervio más conservado a la derecha y la zona de engrosamiento y necrosis a la izquierda, con una zona de pinzamiento en la parte central. (HE, X40.)

 

fig. 5
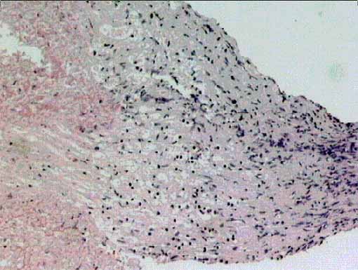
Fig. 5. A mayor aumento, la interfaz entre la necrosis (izquierda) y el segmento más conservado (derecha). (HE, X100.)

 

fig. 6
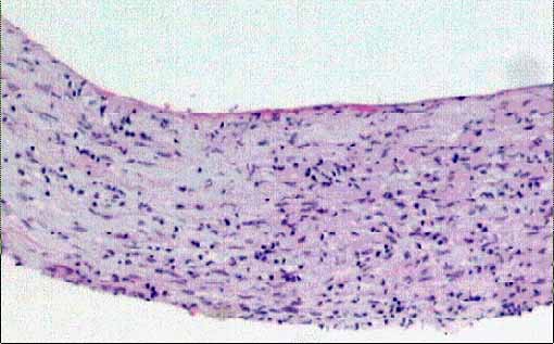
Fig. 6. Imagen correspondiente a una zona alejada del engrosamiento y la necrosis en la que se observa conservación arquitectural del segmento nervioso e incremento de la densidad celular endoneural. (HE, X100.)

 


[TITULO] [INTRODUCCIÓN] [PACIENTE Y MÉTODOS] [RESULTADOS] [ICONOGRAFÍA] [ICONOGRAFÍA-2] [DISCUSIÓN] [AGRADECIMIENTOS] [BIBLIOGRAFÍA]

RESULTADOS

ICONOGRAFÍA-2


Santiago Madero, Jaime Domínguez*, Carolina Ibarrola y Ramiro D. Lobato*
Copyright © 1998. Reservados todos los derechos.