Póster
Nº 077

IICVHAPp.gif (9537 bytes)

IndiceIndice

EDEMA MASIVO DEL OVARIO.
Una entidad poco diagnosticada

Dr. Agustin Chong Lopez, Dr. Abdulrazzaq Haider, Dr. Gershom C. Ejeckham, Dra. Anita Ramakrishnana *, Dra. Sheikha Al-Thani *, Dra. Nawal Al-Ansari *

Comentarios

[TITULO] [INTRODUCCIÓN] [CASO CLÍNICO] [RESULTADOS] [ICONOGRAFÍA] [ICONOGRAFÍA-2] [DISCUSIÓN] [BIBLIOGRAFÍA]

ICONOGRAFÍA

DISCUSIÓN


ICONOGRAFÍA-2

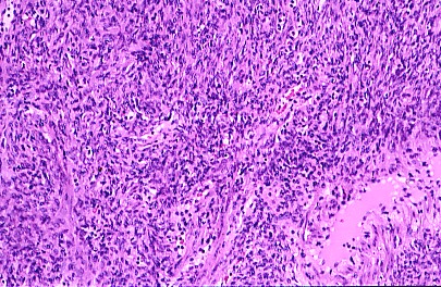
Figura 8
La Figura 8 muestra el estroma celular normal conservado en algunas areas subcorticales. H y E x100.

 

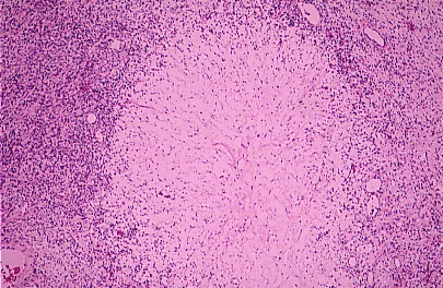
Figura 9
La Figura 9 muestra un area central edematosa con un color claro rodeado por estroma celular conservado. H y E x40.

 

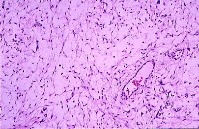
Figura 10
La Figura 10 muestra el severo edema intersticial estromal y algunos vasos capilares dilatados. H y E x100.

 

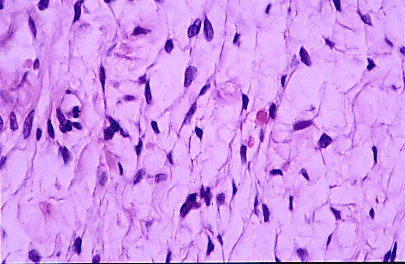
Figura 11
La Figura 11muestra a mayor aumento las caracteristicas celulas estrelladas y fusiformes del estroma edematoso que recuerda un aspecto mixoide. H y E x 400.

 


[TITULO] [INTRODUCCIÓN] [CASO CLÍNICO] [RESULTADOS] [ICONOGRAFÍA] [ICONOGRAFÍA-2] [DISCUSIÓN] [BIBLIOGRAFÍA]

ICONOGRAFÍA

DISCUSIÓN


Dr. Agustin Chong Lopez, Dr. Abdulrazzaq Haider, Dr. Gershom C. Ejeckham, Dra. Anita Ramakrishnana *, Dra. Sheikha Al-Thani *, Dra. Nawal Al-Ansari *
Copyright © 1998. Reservados todos los derechos.