Póster
Nº 077

IICVHAPp.gif (9537 bytes)

IndiceIndice

EDEMA MASIVO DEL OVARIO.
Una entidad poco diagnosticada

Dr. Agustin Chong Lopez, Dr. Abdulrazzaq Haider, Dr. Gershom C. Ejeckham, Dra. Anita Ramakrishnana *, Dra. Sheikha Al-Thani *, Dra. Nawal Al-Ansari *

Comentarios

[TITULO] [INTRODUCCIÓN] [CASO CLÍNICO] [RESULTADOS] [ICONOGRAFÍA] [ICONOGRAFÍA-2] [DISCUSIÓN] [BIBLIOGRAFÍA]

RESULTADOS

ICONOGRAFÍA-2


ICONOGRAFÍA

Figura 3
La Figura 3 muestra parte de un foliculo rodeado por estroma edematoso. HyEx40.

 

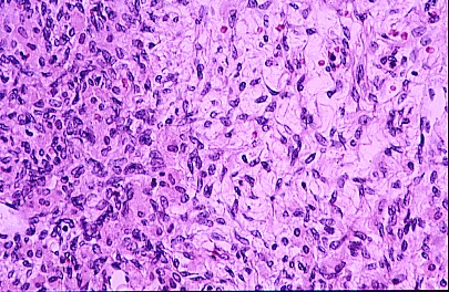
Figura 4
En la figura 4 se observa parte de un foliculo rodeado por edema del estroma. H y EX200.

 

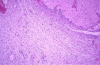
Figura 5
La Figura 5 muestra parte de un Cuerpo luteo y severo edema del estroma H y E X40.

 

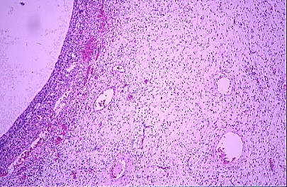
Figura 6
La Figura 6 muestra a la izquierda el marcado edema del estroma ovarico y a la derecha la albuginea y el tejido subalbugineo mas conservado. H y E x40.

 

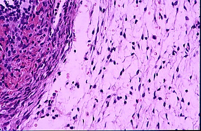
Figura 7
La Figura 7 muestra a mayor aumento a la izquierda el tejido subalbugineo conservado y el edema del estroma a la derecha. H y E x200.

 


[TITULO] [INTRODUCCIÓN] [CASO CLÍNICO] [RESULTADOS] [ICONOGRAFÍA] [ICONOGRAFÍA-2] [DISCUSIÓN] [BIBLIOGRAFÍA]

RESULTADOS

ICONOGRAFÍA-2


Dr. Agustin Chong Lopez, Dr. Abdulrazzaq Haider, Dr. Gershom C. Ejeckham, Dra. Anita Ramakrishnana *, Dra. Sheikha Al-Thani *, Dra. Nawal Al-Ansari *
Copyright © 1998. Reservados todos los derechos.