Póster
Nº 073

IICVHAPp.gif (9537 bytes)

IndiceIndice

Adenocarcinoma gástrico con diferenciación hepatoide.
A propósito de un caso

Miguel Angel Limeres González, Pilar de la Rosa del Rey, Ana Alonso Fernández-Aceytuno

Comentarios

[TITULO] [INTRODUCCIÓN] [DATOS CLÍNICOS] [HALLAZGOS MORFOLÓGICOS] [ICONOGRAFÍA] [ICONOGRAFÍA-2] [DISCUSIÓN] [CONCLUSIÓN] [BIBLIOGRAFÍA]

ICONOGRAFÍA

DISCUSIÓN


ICONOGRAFÍA-2

foto 5
Foto nº 5: Presencia de material PAS positivo, resistente a la diastasa, en el citoplasma de las células de las áreas hepatoides.

 

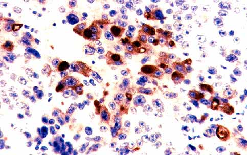
foto 6
Foto nº 6: Expresión de alfa-fetoproteína en el citoplasma de las células de las áreas hepatoides.

 

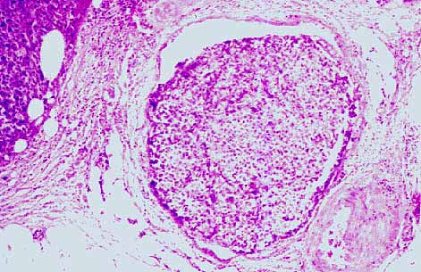
foto 7
Foto nº 7: Vena ocupada por un trombo tumoral.

 


[TITULO] [INTRODUCCIÓN] [DATOS CLÍNICOS] [HALLAZGOS MORFOLÓGICOS] [ICONOGRAFÍA] [ICONOGRAFÍA-2] [DISCUSIÓN] [CONCLUSIÓN] [BIBLIOGRAFÍA]

ICONOGRAFÍA

DISCUSIÓN


Miguel Angel Limeres González, Pilar de la Rosa del Rey, Ana Alonso Fernández-Aceytuno
Copyright © 1998. Reservados todos los derechos.