Póster
Nº 073

IICVHAPp.gif (9537 bytes)

IndiceIndice

Adenocarcinoma gástrico con diferenciación hepatoide.
A propósito de un caso

Miguel Angel Limeres González, Pilar de la Rosa del Rey, Ana Alonso Fernández-Aceytuno

Comentarios

[TITULO] [INTRODUCCIÓN] [DATOS CLÍNICOS] [HALLAZGOS MORFOLÓGICOS] [ICONOGRAFÍA] [ICONOGRAFÍA-2] [DISCUSIÓN] [CONCLUSIÓN] [BIBLIOGRAFÍA]

HALLAZGOS MORFOLÓGICOS

ICONOGRAFÍA-2


ICONOGRAFÍA

foto 1
Foto nº 1: Pieza de antrectomía. Obsérvese en el extremo de la superficie de corte la continuidad del tumor con la pared gástrica y como en el lado opuesto constituye una masa heterogénea.

 

foto 2
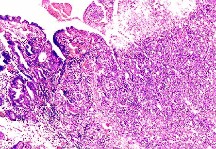
Foto nº 2: Carcinoma pobremente diferenciado en relación con la mucosa gástrica antral.

 

foto 3
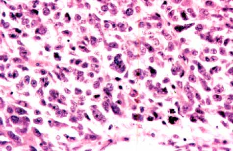
Foto nº 3: Detalle de las áreas menos diferenciadas del tumor. Destaca la anaplasia, el índice mitósico y la prominencia del nucléolo.

 

foto 4
Foto nº 4: Área de patrón hepatoide. Se puede apreciar una tendencia a la disposición trabecular.

 


[TITULO] [INTRODUCCIÓN] [DATOS CLÍNICOS] [HALLAZGOS MORFOLÓGICOS] [ICONOGRAFÍA] [ICONOGRAFÍA-2] [DISCUSIÓN] [CONCLUSIÓN] [BIBLIOGRAFÍA]

HALLAZGOS MORFOLÓGICOS

ICONOGRAFÍA-2


Miguel Angel Limeres González, Pilar de la Rosa del Rey, Ana Alonso Fernández-Aceytuno
Copyright © 1998. Reservados todos los derechos.