Póster
Nº 069

IICVHAPp.gif (9537 bytes)

IndiceIndice

CARCINOMA ADENOESCAMOSO DE ESTÓMAGO

M de la Vega, R Camacho, B Báez, C Santana, A Alonso.

Comentarios

[TITULO] [INTRODUCCIÓN] [MATERIAL Y MÉTODO] [RESULTADOS] [ICONOGRAFÍA] [ICONOGRAFÍA-2] [COMENTARIO] [BIBLIOGRAFÍA]

ICONOGRAFÍA

COMENTARIO


ICONOGRAFÍA-2

figura 6
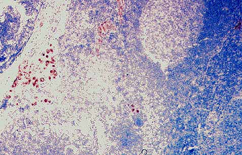
Figura 6:Células de adenocarcinoma en las adenopatías regionales positivas para queratinas (IHQx20).

 

figura 7
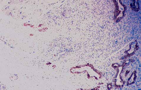
Figura 7:Queratinas de bajo peso molecular positivas en ambos componentes tumorales (IHQx20).

 

figura 8
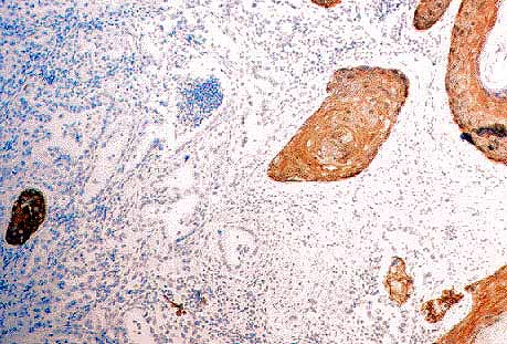
Figura 8:CK5D3 positivo en el componente adenomatoide del carcinoma (IHQx20).

 

figura 9
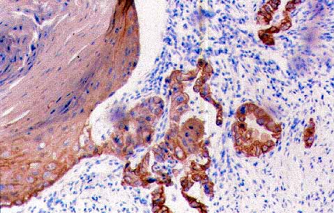
Figura 9:CK 14 positivo en el componente escamoso del carcinoma (IHQx20)

 


[TITULO] [INTRODUCCIÓN] [MATERIAL Y MÉTODO] [RESULTADOS] [ICONOGRAFÍA] [ICONOGRAFÍA-2] [COMENTARIO] [BIBLIOGRAFÍA]

ICONOGRAFÍA

COMENTARIO


M de la Vega, R Camacho, B Báez, C Santana, A Alonso.
Copyright © 1998. Reservados todos los derechos.