Póster
Nº 069

IICVHAPp.gif (9537 bytes)

IndiceIndice

CARCINOMA ADENOESCAMOSO DE ESTÓMAGO

M de la Vega, R Camacho, B Báez, C Santana, A Alonso.

Comentarios

[TITULO] [INTRODUCCIÓN] [MATERIAL Y MÉTODO] [RESULTADOS] [ICONOGRAFÍA] [ICONOGRAFÍA-2] [COMENTARIO] [BIBLIOGRAFÍA]

RESULTADOS

ICONOGRAFÍA-2


ICONOGRAFÍA

figura 1
Figura 1: Pieza de gastrectomía total abierta: Carcinoma adenoescamoso gástrico alejado de los márgenes de resección.

 

figura 2
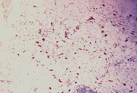
Figura 2:Foco de adenocarcinoma (H-Ex20).

 

figura 3
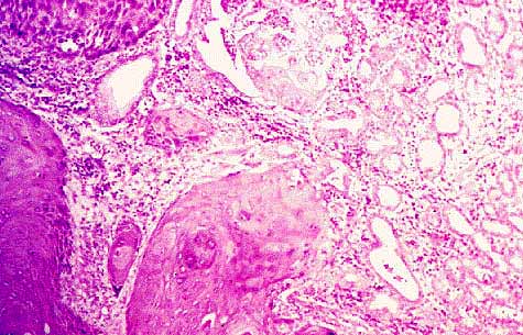
Figura 3:Elementos de transición adenoescamosa (H-Ex20)

 

figura 4
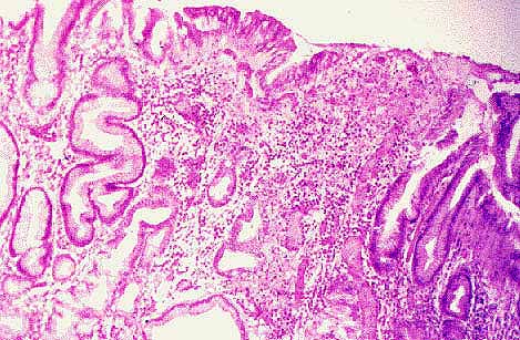
Figura 4:Resto de la mucosa con gastritis atrófica y metaplasia intestinal (H-Ex20).

 

figura 5
Figura 5:Células de adenocarcinoma positivas para queratinas en los nódulos peritoneales (IHQx20).

 


[TITULO] [INTRODUCCIÓN] [MATERIAL Y MÉTODO] [RESULTADOS] [ICONOGRAFÍA] [ICONOGRAFÍA-2] [COMENTARIO] [BIBLIOGRAFÍA]

RESULTADOS

ICONOGRAFÍA-2


M de la Vega, R Camacho, B Báez, C Santana, A Alonso.
Copyright © 1998. Reservados todos los derechos.