Póster
Nº 064

IICVHAPp.gif (9537 bytes)

IndiceIndice

Linfoma leptomeningeo primario simulando una meningitis tuberculosa.
A propósito de un caso con autopsia

B.Báez, Rafael Camacho, Jl. Afonso, C. Muñoz*, C. Santana

Comentarios

[TITULO] [INTRODUCCION] [HISTORIA CLINICA] [AUTOPSIA] [ICONOGRAFIA] [ICONOGRAFIA-2] [COMENTARIOS] [BIBLIOGRAFIA]

ICONOGRAFIA

COMENTARIOS


ICONOGRAFIA-2

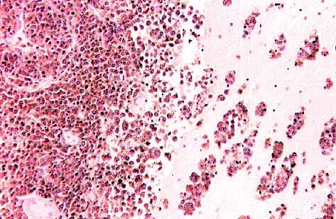
figura 9
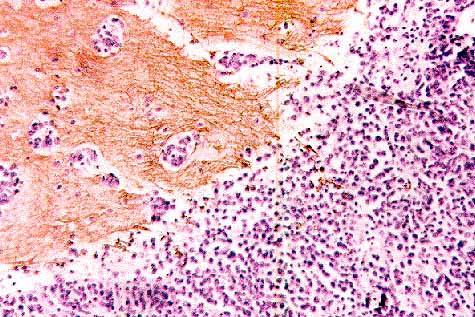
Figura 9.Tinción para antigeno leucocitario común. Infiltración exclusivamente subarcnoidea.

 

figura 10
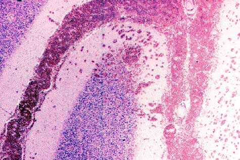
Figura 10. Tinción para GFAP . x10

 

figura 11
Figura 11. Aumento de la foto anterior x20

 

figura 12
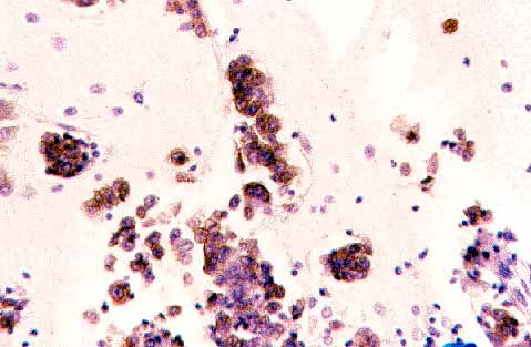
Figura 12. Tinción positiva para el L-26. x20

 

figura 13
Figura 13. Tinción positiva para el L-26, infiltración del parenquima. x40

 

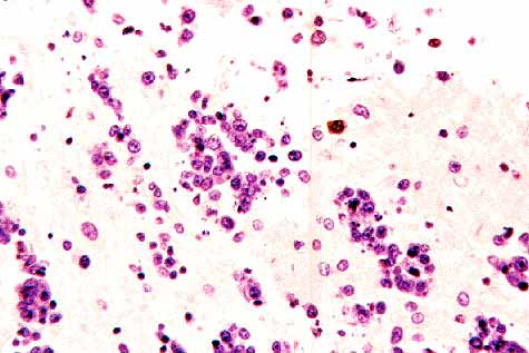
figura 14
Figura 14. Tinción para UCHL1(CD45RO) positiva en los linfocitos pequeños pero negativa en los grandes. x20

 

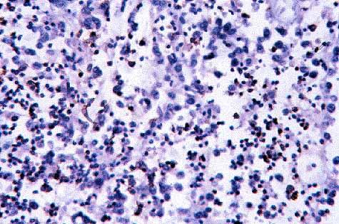
figura 15
Figura 15. Tinción para cadena ligera kappa(lambda similar)x20. Los linfocitos neoplasicos son negativos(una células plasmática positica como control interno)

 


[TITULO] [INTRODUCCION] [HISTORIA CLINICA] [AUTOPSIA] [ICONOGRAFIA] [ICONOGRAFIA-2] [COMENTARIOS] [BIBLIOGRAFIA]

ICONOGRAFIA

COMENTARIOS


B.Báez, Rafael Camacho, Jl. Afonso, C. Muñoz*, C. Santana
Copyright © 1998. Reservados todos los derechos.