Póster
Nº 064

IICVHAPp.gif (9537 bytes)

IndiceIndice

Linfoma leptomeningeo primario simulando una meningitis tuberculosa.
A propósito de un caso con autopsia

B.Báez, Rafael Camacho, Jl. Afonso, C. Muñoz*, C. Santana

Comentarios

[TITULO] [INTRODUCCION] [HISTORIA CLINICA] [AUTOPSIA] [ICONOGRAFIA] [ICONOGRAFIA-2] [COMENTARIOS] [BIBLIOGRAFIA]

AUTOPSIA

ICONOGRAFIA-2


ICONOGRAFIA

figura 1
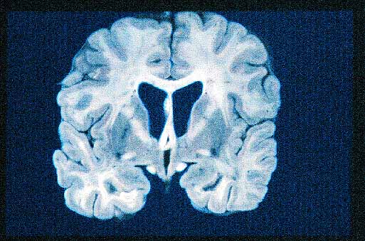
Figura 1. Dilatación de los ventriculos cererbrales laterales. No se observa masa tumoral.

 

figura 2
Figura 2. Aumento del tamaño del hemicerebelo derecho con desplazamiento del tronco.

 

figura 3
Figura 3. Engrosamiento de los pliegues cerebelosos.

 

figura 4
Figura 4. Engrosamiento de los pliegues cerebelosos.

 

figura 5
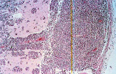
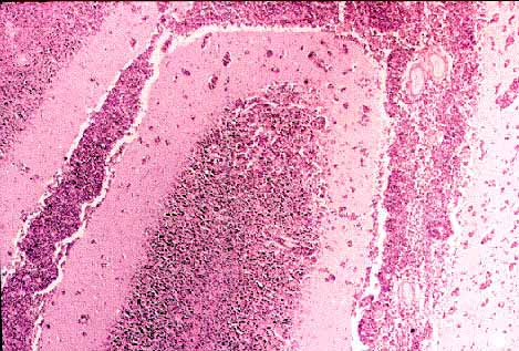
Figura 5.Infiltración subaracnoidea por el linfoma. H-E x10

 

figura 6
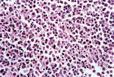
Figura 6.Detalle del linfoma. Linfocitos de gran tamaño junto con figuras de apoptosis. H-E x40.

 

figura 7
Figura 7.Infiltración de los espacios de Virchow-Robin. H-E x10

 

figura 8
Figura 8.Infiltración de pares craneales. H-E x10

 


[TITULO] [INTRODUCCION] [HISTORIA CLINICA] [AUTOPSIA] [ICONOGRAFIA] [ICONOGRAFIA-2] [COMENTARIOS] [BIBLIOGRAFIA]

AUTOPSIA

ICONOGRAFIA-2


B.Báez, Rafael Camacho, Jl. Afonso, C. Muñoz*, C. Santana
Copyright © 1998. Reservados todos los derechos.