Póster
Nº 043

IICVHAPp.gif (9537 bytes)

IndiceIndice

CARCINOSARCOMA DE VEJIGA CON COMPONENTE EPITELIAL NEUROENDOCRINO DE CÉLULA PEQUEÑA.
PRESENTACIÓN DE UN CASO

C.Ruiz de Valbuena, C.Prada, C.Álvarez, M.J.Lorenzo, E.Vázquez Martul

Comentarios

[TITULO] [INTRODUCCIÓN] [CASO CLÍNICO] [RESULTADOS] [ICONOGRAFÍA] [ICONOGRAFÍA-2] [DISCUSIÓN] [BIBLIOGRAFÍA]

ICONOGRAFÍA

DISCUSIÓN


ICONOGRAFÍA-2

fig.6
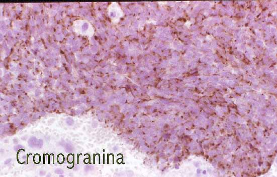
Figura 6.- Cromogranina:Tinción positiva intracitoplasmática(++) en componente epitelial.

 

fig.7
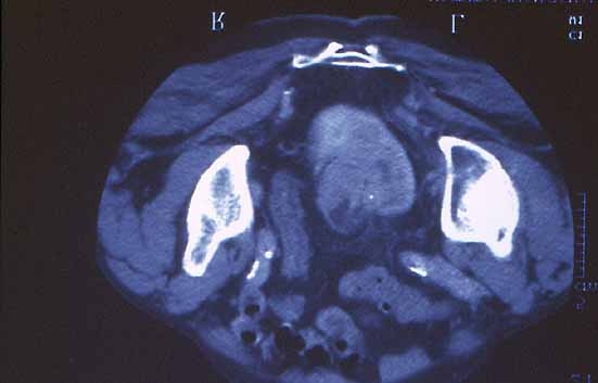
Figura 7.- TAC pélvico:Masa en riñón izquierdo(riñon pélvico)localizada en la pelvis, que infiltra el parénquima y dilata el uréter.

 

fig.8
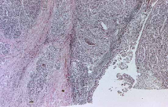
Figura 8.- H-E(10x):Tumoración que surge de la células transicionales de la pelvis renal, las cuales se disponen formendo nidos con áreas de necrosis central e infiltran el parénquima.

 

fig.9
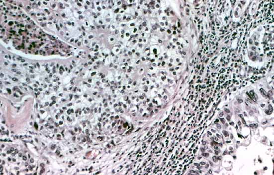
Figura 9.- H-E(20x):Tumoración compuesta por células con límites precisos, núcleos ovalados y citoplasma amplio eosinófilo o claro.

 


[TITULO] [INTRODUCCIÓN] [CASO CLÍNICO] [RESULTADOS] [ICONOGRAFÍA] [ICONOGRAFÍA-2] [DISCUSIÓN] [BIBLIOGRAFÍA]

ICONOGRAFÍA

DISCUSIÓN


C.Ruiz de Valbuena, C.Prada, C.Álvarez, M.J.Lorenzo, E.Vázquez Martul
Copyright © 1998. Reservados todos los derechos.