Póster
Nº 043

IICVHAPp.gif (9537 bytes)

IndiceIndice

CARCINOSARCOMA DE VEJIGA CON COMPONENTE EPITELIAL NEUROENDOCRINO DE CÉLULA PEQUEÑA.
PRESENTACIÓN DE UN CASO

C.Ruiz de Valbuena, C.Prada, C.Álvarez, M.J.Lorenzo, E.Vázquez Martul

Comentarios

[TITULO] [INTRODUCCIÓN] [CASO CLÍNICO] [RESULTADOS] [ICONOGRAFÍA] [ICONOGRAFÍA-2] [DISCUSIÓN] [BIBLIOGRAFÍA]

RESULTADOS

ICONOGRAFÍA-2


ICONOGRAFÍA

fig.1
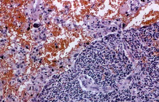
Figura 1.- H-E(10x):Tumoración que unfiltra las capas musculares de la vejiga, compuesta por nidos de células pequeñas basófilas, rodeados por un estroma con células atípicas y pleomórficas.

 

fig.2
Figura 2.- H-E(40x):Nidos de células pequeñas, basófilas, con escaso citoplasma y abundantes mitosis; intercalados con células estromales muy atípicas, con llamativo pleomorfismo y abundantes mitosis atípicas.

 

fig.3
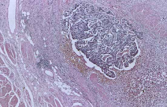
Figura 3.- CAM 5.2: Tinción positiva(+++) en componente epitelial.

 

fig.4
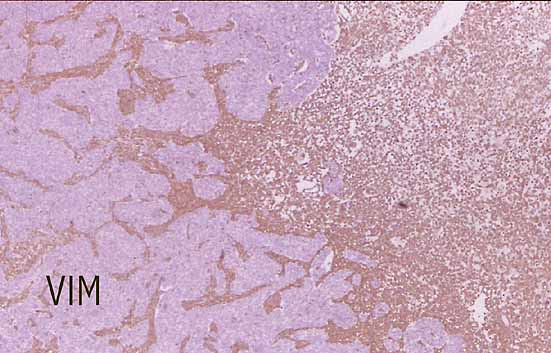
Figura 4.- VIM:Tinción positiva(+++) en componente sarcomato.

 

fig.5
Figura 5.- NSE: tinción positiva(+++)intracitoplasmática en componente epitelial.

 


[TITULO] [INTRODUCCIÓN] [CASO CLÍNICO] [RESULTADOS] [ICONOGRAFÍA] [ICONOGRAFÍA-2] [DISCUSIÓN] [BIBLIOGRAFÍA]

RESULTADOS

ICONOGRAFÍA-2


C.Ruiz de Valbuena, C.Prada, C.Álvarez, M.J.Lorenzo, E.Vázquez Martul
Copyright © 1998. Reservados todos los derechos.