Póster
Nº 028

IICVHAPp.gif (9537 bytes)

IndiceIndice

NEVUS AZUL EN EL CERVIX UTERINO

GOMEZ, Silvia; SAMBUELLI, Ruben; THEAUX, Ricardo

Comentarios

[TITULO] [INTRODUCCION - MACROSCOPIA] [ESTUDIO MICROSCOPICO] [DISCUSION ] [ICONOGRAFÍA] [ICONOGRAFÍA-2] [BIBLIOGRAFIA]

ICONOGRAFÍA

BIBLIOGRAFIA


ICONOGRAFÍA-2

Fig. 5
Figura 5.- Melanocitos dendríticos en cervix, observación con H+E - 100 x.

 

Fig. 6
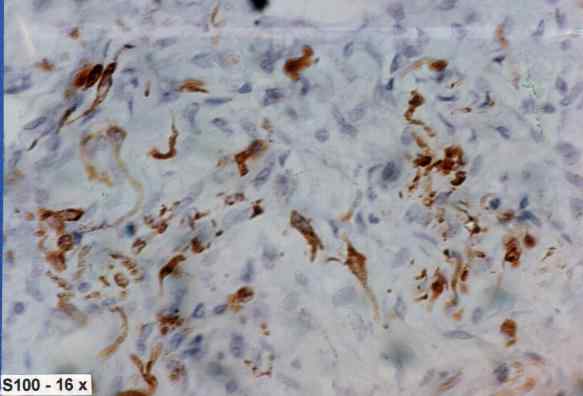
Figura 6.- Melanocitos dendríticos en el estroma cervical Inmunomarcación con anticuerpo para proteína S-100, 16 x.

 

Fig. 7
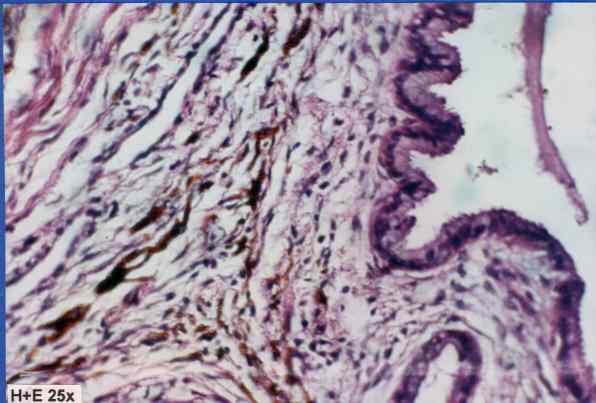
Figura 7.- Melanocitos dendríticos en cervix - H+E - 25 x.

 


[TITULO] [INTRODUCCION - MACROSCOPIA] [ESTUDIO MICROSCOPICO] [DISCUSION ] [ICONOGRAFÍA] [ICONOGRAFÍA-2] [BIBLIOGRAFIA]

ICONOGRAFÍA

BIBLIOGRAFIA


GOMEZ, Silvia; SAMBUELLI, Ruben; THEAUX, Ricardo
Copyright © 1998. Reservados todos los derechos.