Póster
Nº 028

IICVHAPp.gif (9537 bytes)

IndiceIndice

NEVUS AZUL EN EL CERVIX UTERINO

GOMEZ, Silvia; SAMBUELLI, Ruben; THEAUX, Ricardo

Comentarios

[TITULO] [INTRODUCCION - MACROSCOPIA] [ESTUDIO MICROSCOPICO] [DISCUSION ] [ICONOGRAFÍA] [ICONOGRAFÍA-2] [BIBLIOGRAFIA]

DISCUSION

ICONOGRAFÍA-2


ICONOGRAFÍA

Fig. 1
Figura 1.- La imagen muestra la macroscopia de la pieza operatoria con la lesión pigmentada azul- negruzco cervical.

 

Fig. 2
Figura 2.- Detalle de la lesión cervical pigmentada en un corte del cuello uterino.

 

Fig. 3
Figura 3.- Vista panorámica compuesta por adición de fotografias seriadas con Objetivo 3.5 x, que incluye casi todo el sector delendocervix de labio posterior con la lesión - Inmunomarcación con S-100.

 

fig. 4
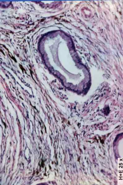
Figura 4.- Melanocitos dendríticos en el estroma cervical uterino, H+E- 25 x

 


[TITULO] [INTRODUCCION - MACROSCOPIA] [ESTUDIO MICROSCOPICO] [DISCUSION ] [ICONOGRAFÍA] [ICONOGRAFÍA-2] [BIBLIOGRAFIA]

DISCUSION

ICONOGRAFÍA-2


GOMEZ, Silvia; SAMBUELLI, Ruben; THEAUX, Ricardo
Copyright © 1998. Reservados todos los derechos.