Póster
      Nº 023

IICVHAPp.gif (9537 bytes)

IndiceIndice

HEPATITIS FIBROSANTE COLOSTATICA EN TRASPLANTADO HEPATICO VHB Y VHC +

PRADA PUENTES CARLOS, RUIZ DE VALBUENA BUENO CARMEN,ALVAREZ ALVAREZ CARLOS,ESTEVEZ ESTEVEZ EMILIO*, ARNAL MONREAL FRANCISCO, VAZQUEZ MARTUL EDUARDO

Comentarios

[TITULO] [HISTORIA PRETRASPLANTE] [PIEZA DE EXPLANTECTOMIA] [EVOLUCION Y HALLAZGOS DE AUTOPSIA] [ICONOGRAFÍA] [ICONOGRAFÍA-2] [DISCUSIÓN] [CONCLUSIONES] [BIBLIOGRAFÍA]

ICONOGRAFÍA

DISCUSIÓN


ICONOGRAFÍA-2

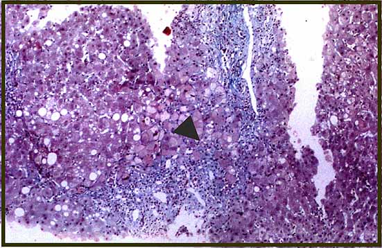
fig. 5
Figura 5.- Masson 100X; biopsia al 15º mes postrasplante con un puente fibroso porto-portal (flecha).

 

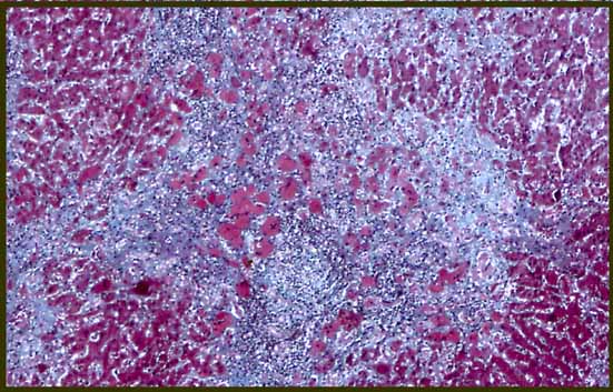
fig. 6
Figura 6.- Masson 100X; Intensa fibrosis extendiéndose por los sinusoides con escasa inflamación.

 

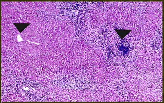
fig. 7
Figura 7.- HE 100X; hígado no cirrótico con una vena central (flecha izqda), y un acúmulo linfoide (flecha dcha).

 

fig. 8
Figura 8.- Inmunohistoquímica 200X para Hbc Ag y Hbs Ag.

 


[TITULO] [HISTORIA PRETRASPLANTE] [PIEZA DE EXPLANTECTOMIA] [EVOLUCION Y HALLAZGOS DE AUTOPSIA] [ICONOGRAFÍA] [ICONOGRAFÍA-2] [DISCUSIÓN] [CONCLUSIONES] [BIBLIOGRAFÍA]

ICONOGRAFÍA

DISCUSIÓN


PRADA PUENTES CARLOS, RUIZ DE VALBUENA BUENO CARMEN,ALVAREZ ALVAREZ CARLOS,ESTEVEZ ESTEVEZ EMILIO*, ARNAL MONREAL FRANCISCO, VAZQUEZ MARTUL EDUARDO
Copyright © 1998. Reservados todos los derechos.