Póster
      Nº 023

IICVHAPp.gif (9537 bytes)

IndiceIndice

HEPATITIS FIBROSANTE COLOSTATICA EN TRASPLANTADO HEPATICO VHB Y VHC +

PRADA PUENTES CARLOS, RUIZ DE VALBUENA BUENO CARMEN,ALVAREZ ALVAREZ CARLOS,ESTEVEZ ESTEVEZ EMILIO*, ARNAL MONREAL FRANCISCO, VAZQUEZ MARTUL EDUARDO

Comentarios

[TITULO] [HISTORIA PRETRASPLANTE] [PIEZA DE EXPLANTECTOMIA] [EVOLUCION Y HALLAZGOS DE AUTOPSIA] [ICONOGRAFÍA] [ICONOGRAFÍA-2] [DISCUSIÓN] [CONCLUSIONES] [BIBLIOGRAFÍA]

EVOLUCION Y HALLAZGOS DE AUTOPSIA

ICONOGRAFÍA-2


ICONOGRAFÍA

fig. 1
Figura 1.- Macro de la pieza de explantectomía.

 

fig. 2
Figura 2.- Macro del tumor de mayor tamaño y el de menor tamaño en la esquina inferior.

 

fig. 3
Figura 3.- HE 400X del hígado en un espacio porta y tinción para Hbs Ag en la esquina inferior.

 

fig. 4
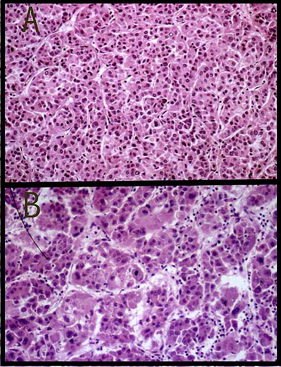
Figura 4.- HE 200X de tumor de mayor tamaño y bien diferenciado(A) y tumor de menor tamaño y peor diferenciado(B).

 


[TITULO] [HISTORIA PRETRASPLANTE] [PIEZA DE EXPLANTECTOMIA] [EVOLUCION Y HALLAZGOS DE AUTOPSIA] [ICONOGRAFÍA] [ICONOGRAFÍA-2] [DISCUSIÓN] [CONCLUSIONES] [BIBLIOGRAFÍA]

EVOLUCION Y HALLAZGOS DE AUTOPSIA

ICONOGRAFÍA-2


PRADA PUENTES CARLOS, RUIZ DE VALBUENA BUENO CARMEN,ALVAREZ ALVAREZ CARLOS,ESTEVEZ ESTEVEZ EMILIO*, ARNAL MONREAL FRANCISCO, VAZQUEZ MARTUL EDUARDO
Copyright © 1998. Reservados todos los derechos.