Póster
      Nº 019

IICVHAPp.gif (9537 bytes)

IndiceIndice

PLASMOCITOMA EXTRAMEDULAR

Maria José Roca Estellés, Pascual Meseguer García, Francisco García Herreros, Jorge Escandón Álvarez, Álvaro Gómez Castro, Alfons Carles Polo Peris*

Comentarios

[TITULO] [HISTORIA CLÍNICA] [COMENTARIOS] [ICONOGRAFÍA] [ICONOGRAFÍA-2] [BIBLIOGRAFÍA]

ICONOGRAFÍA

BIBLIOGRAFÍA


ICONOGRAFÍA-2

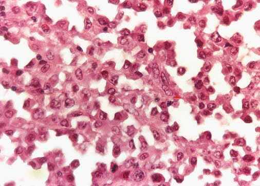
Figura 6
Figura 6.- Plasmocitoma inmaduro de celda pararrenal. Patrón de cromatina laxa y prominentes nucleolos (H-E, 40 x 12,5).

 

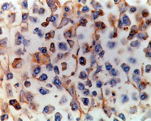
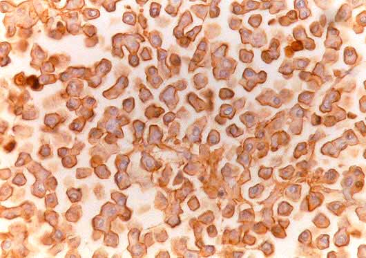
Figura 7
Figura 7.- Patrón de tinción de membrana en la práctica totalidad de las células neoplásicas con EMA (Inmunoperoxidasa ,40 x 12,5).

 

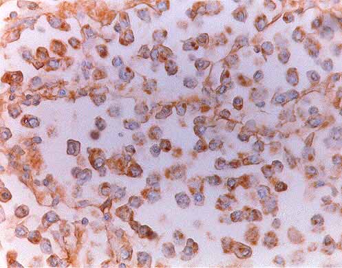
Figura 8
Figura 8.- Tinción citoplásmica con notable acentuación en aparato de Golgi con Lambda (Inmunoperoxidasa, 40 x 12,5).

 

Figura 9
Figura 9.- Tinción citoplásmica débil, difusa para IgG (Inmunoperoxidasa, 40 x 12,5).

 

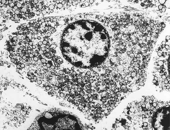
Figura 10
Figura 10.- Ultraestructura típica de células plasmáticas cargadas de vesículas de REG.

 


[TITULO] [HISTORIA CLÍNICA] [COMENTARIOS] [ICONOGRAFÍA] [ICONOGRAFÍA-2] [BIBLIOGRAFÍA]

ICONOGRAFÍA

BIBLIOGRAFÍA


Maria José Roca Estellés, Pascual Meseguer García, Francisco García Herreros, Jorge Escandón Álvarez, Álvaro Gómez Castro, Alfons Carles Polo Peris*
Copyright © 1998. Reservados todos los derechos.