Póster
      Nº 019

IICVHAPp.gif (9537 bytes)

IndiceIndice

PLASMOCITOMA EXTRAMEDULAR

Maria José Roca Estellés, Pascual Meseguer García, Francisco García Herreros, Jorge Escandón Álvarez, Álvaro Gómez Castro, Alfons Carles Polo Peris*

Comentarios

[TITULO] [HISTORIA CLÍNICA] [COMENTARIOS] [ICONOGRAFÍA] [ICONOGRAFÍA-2] [BIBLIOGRAFÍA]

COMENTARIOS

ICONOGRAFÍA-2


ICONOGRAFÍA

Figura 1
Figura 1.- Pieza correspondiente a nefrectomía radical izquierda que muestra tumoración de 7,5 x 4,5cm. de consistencia discretamente indurada y coloración blanquecina. El tumor se encuentra adherido a cápsula renal rodeando e invadiendo focalmente el parénquima renal.

 

Figura 2
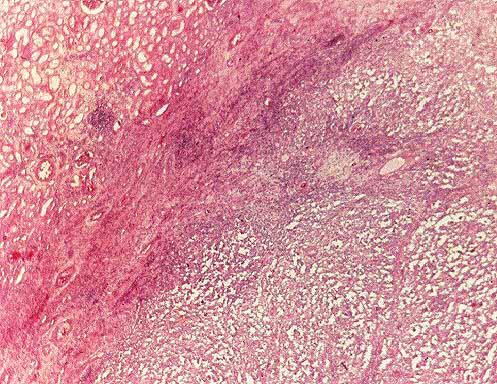
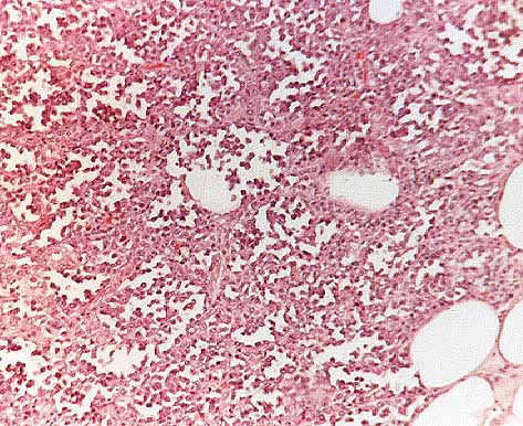
Figura 2.- Interfase del tumor y el parénquima renal (H-E, 2,5 x 12,5).

 

Figura 3
Figura 3.- Patrón de crecimiento alveolar con infiltración de la grasa perirrenal (H-E, 10 x 12,5).

 

Figura 4
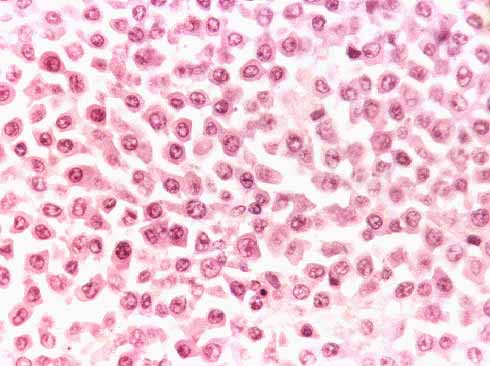
Figura 4.- Distribución difusa de células de mediano tamaño con abundante citoplasma y núcleos excéntricos, con cromatina en rueda de carro y mínimo componente estromal (H-E, 40 x 12,5).

 

Figura 5
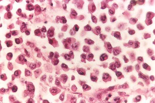
Figura 5.- Proliferación de células plasmáticas, con marcada atipia celular, algunas de las cuales muestran zona correspondiente al aparato de Golgi prominentes (H-E ,40 x 12,5).

 


[TITULO] [HISTORIA CLÍNICA] [COMENTARIOS] [ICONOGRAFÍA] [ICONOGRAFÍA-2] [BIBLIOGRAFÍA]

COMENTARIOS

ICONOGRAFÍA-2


Maria José Roca Estellés, Pascual Meseguer García, Francisco García Herreros, Jorge Escandón Álvarez, Álvaro Gómez Castro, Alfons Carles Polo Peris*
Copyright © 1998. Reservados todos los derechos.