Póster
Nº 010

IICVHAPp.gif (9537 bytes)

IndiceIndice

AMEBO-FLAGELADOS EN EL ASMA BRONQUIAL.

A.Ribas; M.J.Baizan; C.Turiel; M.P.Carrasco; C.Torre.

Comentarios

[TITULO] [OBJETIVOS] [MATERIAL] [RESULTADOS] [ICONOGRAFIA] [ICONOGRAFIA-2] [ICONOGRAFIA-3] [CONCLUSIONES]

ICONOGRAFIA

ICONOGRAFIA-3


ICONOGRAFIA-2

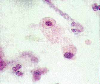
fig. 2a fig. 2b
Fig. 2 a: Flagelado gigante. Fig. 2 b: Penacho ciliado al lado de flagelado.
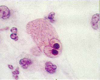
fig. 2c fig. 2d
Fig 2 c: Formas ameboides. Figura 2 d: Formas ameboides.
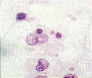
fig. 2e fig. 2f
Fig 2 e: Quiste. Fig 2 f: Gránulos rojos. (Pap x 1000).


[TITULO] [OBJETIVOS] [MATERIAL] [RESULTADOS] [ICONOGRAFIA] [ICONOGRAFIA-2] [ICONOGRAFIA-3] [CONCLUSIONES]

ICONOGRAFIA

ICONOGRAFIA-3


A.Ribas; M.J.Baizan; C.Turiel; M.P.Carrasco; C.Torre.
Copyright © 1998. Reservados todos los derechos.