Póster
Nº 010

IICVHAPp.gif (9537 bytes)

IndiceIndice

AMEBO-FLAGELADOS EN EL ASMA BRONQUIAL.

A.Ribas; M.J.Baizan; C.Turiel; M.P.Carrasco; C.Torre.

Comentarios

[TITULO] [OBJETIVOS] [MATERIAL] [RESULTADOS] [ICONOGRAFIA] [ICONOGRAFIA-2] [ICONOGRAFIA-3] [CONCLUSIONES]

RESULTADOS

ICONOGRAFIA-2


ICONOGRAFIA

fig. 1a fig. 1b
Fig 1 a : Penacho Ciliado, con placa basal, igual longitud de cilios “peinados”. Fig. 1 b: Flagelado sin placa basal, con cilios desiguales y “despeinados”.
fig. 1c fig. 1d
Fig. 1 c: Flagelado, el citoplasma “entra” en los flagelos, al igual que en Fig. 1 d. Fig. 1 d: Flagelado, el citoplasma “entra” en los flagelos
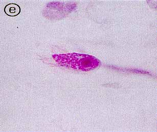
fig. 1e fig. 1f
Fig. 1 e: forma transiccion entre flagelado y ameba . Fig 1f : Flagelado dificil de separar del penacho ciliado (ausencia placa basal y cilios irregulares). (Pap x 1000).


[TITULO] [OBJETIVOS] [MATERIAL] [RESULTADOS] [ICONOGRAFIA] [ICONOGRAFIA-2] [ICONOGRAFIA-3] [CONCLUSIONES]

RESULTADOS

ICONOGRAFIA-2


A.Ribas; M.J.Baizan; C.Turiel; M.P.Carrasco; C.Torre.
Copyright © 1998. Reservados todos los derechos.