 |
Figura 6. Corte en parafina de una sección de verruga fijada por inmersión con COMPLUCAD para tejidos y órganos, teñida con Hematoxilina-Eosina. La barra de la escala representa 108.3 µm. |
 |
Figura 7. Corte en parafina de una sección de verruga fijada por inmersión con COMPLUCAD para tejidos y órganos, teñida con Hematoxilina-Eosina. La barra de la escala representa 155.6 µm. |
 |
Figura 8. Corte semifino de lengua de rata fijada por perfusión con COMPLUCAD para tejidos y órganos, teñida con Azul de Toluidina. (E= Epitelio, LCT= Tejido conectivo laxo, SMT= Tejido musculat esquelético). La barra de la escala representa 113.6 µm. |
 |
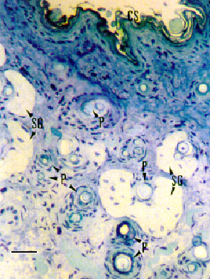
Figura 9. Corte semifino de piel de rata teñido con Azul de Toluidina tras su fijación por inmersión con COMPLUCAD para tejidos y órganos. Notar la presencia de un estrato córneo delgado (CS). La dermis contiene numerosos folículos pilosos (P) asociados a las glándulas sebáceas (SG). La escala representa 88.7 µm. |