 |
Figura 1. Corte semifino de músculo cardíaco de
rata fijado con COMPLUCAD para tejidos y órganos, teñido con Azul de Toluidina. Puede
observarse la alternancia de las bandas Z. La barra de la escala representa 55.3 µm. |
 |
Figura 2. Corte en parafina de médula oblonga de
rata fijada con COMPLUCAD para tejidos y órganos , teñida con Hematoxilina-Eosina. La
barra de la escala representa 125.7 µm. |
 |
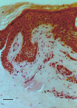
Figura 3. Corte en parafina de una sección de
queratosis seborreica humana fijada con COMPLUCAD para tejidos y órganos, teñida con
Hematoxilina-Eosina. (E= Epidermis, EC= Estrato Córneo). La barra de la escala representa
125 µm. |
 |
Figura 4. Sección transversal de oviducto de rata
fijado por inmersión con COMPLUCAD para tejidos y órganos, teñido con
Hematoxilina-Eosina. (E=Epitelio, CT= Tejido Conectivo, SMT= Tejido muscular liso, FT=
Tejido sebáceo). La barra de la escala representa 126.9 µm. |
 |
Figura 5. Corte en parafina de una muestra de
queratosis seborreica humana fijada por perfusión con COMPLUCAD para tejidos y órganos,
teñida con Azul Alcizn-Hematoxilina-Picrocarmín Indigo. ((E= Epidermis, EC= Estrato
Córneo). La barra de la escala representa 138.8 µm. |