II-CVHAP.gif (16582 bytes)

ESTRUCTURA Y FUNCION DEL HUESO NORMAL

Dr. Sergio Serrano

Comentarios

[Índice] [Introducción] [Matriz] [Osteoblasto] [Osteoclasto] [Biomecanica] [Dinamica] [Bibliografía]

1. HISTOLOGÍA DEL TEJIDO ÓSEO (cont.)


1.2 Células óseas

1.2.1 Linaje osteoblástico

Forman parte de este linaje los preosteoblastos, los osteoblastos y los osteocitos. Los preosteoblastos son células de aspecto fibroblástico cercanas a las superficies óseas pero separadas de estas por otros tipos celulares (células del endostio, osteoblastos)6. Los preosteoblastos son dificiles de identificar en condiciones normales, pero pueden observarse con facilidad si sufren una hiperplasia como por ejemplo en el hiperparatiroidismo (Fig.4). Los preosteoblastos derivan de una célula madre del estroma medular (CFU-F:Unidad Formadora de Colonias de Fibroblastos) y en condiciones normales constituyen el compartimiento proliferativo del linaje osteoblástico. Los osteoblastos son células de forma cúbica (Fig.4), citoplasma basófilo y ricas en una isoenzima específica de la fosfatasa alcalina6. Derivan de los preosteoblastos y suelen considerarse células con diferenciación terminal y por tanto incapaces de dividirse, no obstante existen datos que sugieren que, al menos en parte, conservan la capacidad de proliferar. Los osteoblastos se hallan en contacto directo con las superficies óseas formando grupos compactos de una sola capa de espesor. De manera característica el núcleo de estas células se situa en el extremo que se halla más alejado de la superficie ósea sobre la que asientan. El estudio ultrastructural (Fig.5) permite comprobar que entre el núcleo y la superficie de contacto con el hueso se situan de manera sucesiva el aparato de Golgi y abundantes cisternas de retículo endoplásmico rugoso6. Estas características ultrastructurales son típicas de las células con capacidad para segregar grandes cantidades de proteinas. Los osteoblastos sintetizan el componente orgánico de la matriz ósea (colágeno tipo I, proteoglicanos, proteínas implicadas en la adhesión celular, osteocalcina y factores de crecimiento) y controlan el depósito de las sales minerales. Tanto in vivo como in vitro los osteoblastos pasan sucesivamente por tres estadios funcionales7,8,9: a) proliferación celular y síntesis de los componente orgánicos de la matriz ósea, b) maduración de la matriz ósea (cambios en la composición y organización de la matriz que la hacen competente para ser mineralizada) y c) depósito de mineral. In vitro se ha comprobado que estos estadios coinciden con la activación sucesiva de una serie de genes: c-fos, c-jun, histona H4, colágeno tipo I, fibronectina y factor transformante ß (proliferación y síntesis de los componente orgánicos de la matriz ósea); fosfatasa alcalina (maduración de la matriz); sialoproteina ósea, osteopontina y osteocalcina (depósito de mineral).

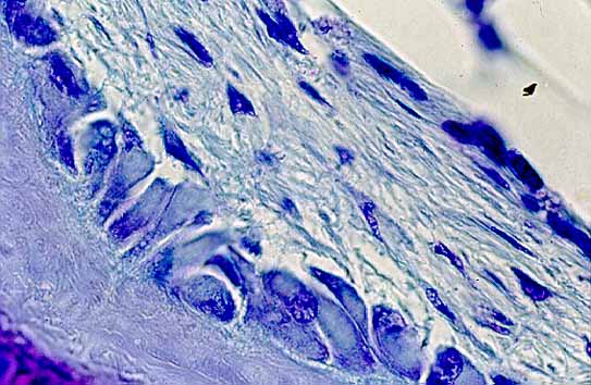
figura4.jpg (45469 bytes)

Fig.4: Preosteoblastos fusiformes adyacentes a osteoblastos cúbicos que revisten un ribete de osteoide (banda azul claro) en un caso de hiperparatiroidismo (Azul de Toluidina x 1000)

figura5a.jpg (74038 bytes)

Fig.5: A: Osteoblastos sobre un ribete de osteoide. Obsérvese que el osteoblasto del centro presenta el núcleo en el extremo opuesto a la zona de contacto con el hueso. El osteoide se observa como un material finamente fibrilar de color gris y por debajo del mismo se situa el hueso mineralizado en color negro (Microscopía electrónica x 3400).

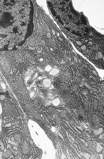
figura5b.jpg (64167 bytes)

Fig.5: B: Detalle de un osteoblasto. En el extremo superior se observa un segmento del núcleo. Cercano al núcleo, se observan las vesículas dilatadas del aparato de Golgi de contenido gris claro (*). El resto del citoplasma esta ocupado por abundantes cisternas de retículo endoplásmico rugoso (Microscopía electrónica x 9100).

Los osteoblastos pueden permanecer en la superficies óseas o quedar rodeados por la matriz que sintetizan. Cuando los osteoblastos que han permanecido en la superficie finalizan la síntesis de matriz, se aplanan y se convierten en células de revestimiento (células del endostio o "lining cells"). Estas células a través de la producción de factores locales (Interleucina-6, Interleucina-11)10,11 parecen desarrollar un importante papel en el control del remodelado óseo. Las osteoblastos que quedan en el espesor de la matriz adquieren aspecto estrellado y pasan a denominarse osteocitos6 (Fig.6). Estas células se hallan en contacto entre sí y con las de la células de la superficie (células de revestimiento, osteoblastos) mediante finas prolongaciones tubulares de su citoplasma que recorren la matriz ósea en diversas direcciones. La cavidad de la matriz ósea que contiene el cuerpo celular del osteocito se denomina laguna osteocitaria y los diminutos canalículos que albergan sus prolongaciones citoplásmicas reciben el nombre de conductos calcóforos. El estudio ultrastructural de los osteocitos (Fig.7) revela que presentan un aparato de Golgi y un retículo endoplásmico rugoso menos desarrollado que los osteoblastos. Estas organelas se concentran en el cuerpo celular donde se disponen alrededor del núcleo. En los puntos de contacto entre las prolongaciones citoplásmicas se observan uniones tipo "gap"(gap junctions)12. En estas uniones existen pequeños canales intercelulares con un diámetro interno de 1.5 nm. Estos canales permiten el paso directo de una a otra célula de iones inorgánicos y pequeñas moléculas hidrosolubles (aminoácidos, azúcares, nucleótidos y vitaminas)por lo que posibilitan una comunicación química y eléctrica. Los osteocitos son células con una escasa actividad metabólica pero su preservación parece necesaria para que el tejido óseo mantenga sus propiedades biomecánicas. La situación de los osteocitos es teoricamente ideal para detectar el estrés mecánico y las microlesiones de la matriz. Estas células podrían transmitir señales a las células de revestimiento que utilizarían la información recibida para modular localmente el remodelado13. Durante años se ha discutido acerca de si los osteocitos son o no capaces de inducir la osteolisis de la matriz que los rodea al ser estimulados por la PTH (osteolisis osteocitaria). En la actualidad esta posibilidad se considera del todo improbable.

figura6.jpg (25727 bytes)

Fig.6: Osteocitos en los que se observan las finas prolongaciones del cuerpo celular (Giemsa x 1000).

figura7.jpg (42249 bytes)

Fig.7: Osteocito en el interior de una laguna. La matriz ósea mineralizada es de color negro y en el margen superior izquierdo de la imagen, se observa como una prolongación osteocitaria penetra en el interior de un conducto calcóforo. El citoplasma del osteocito contiene retículo endoplásmico rugoso que es especialmente visible en el segmento superior derecho de la imagen (Microscopía electrónica x 5700).

El factor sistémico que de manera más potente induce in vivo la diferenciación y proliferación de las células del linaje osteoblástico es la hormona paratiroidea (PTH). Los osteoblastos poseen receptores para la PTH, pero algunos los efectos de la hormona sobre éstas células son probablemente mediados por factores locales. La PTH actuaría sobre las células del linaje osteoblástico estimulando la producción de factor de crecimiento relacionado con la insulina tipo I(IGF-I)14,15. Este factor local a su vez estimularía la proliferación de los osteoblastos y sus precursores por un mecanismo autocrino. Además de la PTH otros factores sistémicos como la 1-25 dihidroxivitamina D3 y numerosos factores locales (inteleucina-1, factor de necrosis tumoral y factor transformante ß entre otros) afectan in vitro la función de los osteoblastos pero su importancia relativa in vivo se desconoce6.

 

 

[Índice] [Introducción] [Matriz] [Osteoblasto] [Osteoclasto] [Biomecanica] [Dinamica] [Bibliografía]


Contenido

E-mail info@conganat.org

CopyRight Dr. Sergio Serrano, 1998.
Última actualización: 01 noviembre 1998 22:08