II-CVHAP.gif (16582 bytes)

Punción-Aspiración con Aguja Fina (PAAF) de la Glándula Suprarrenal

P. de Agustín, F. López-Ríos*, A. Pérez Barrios, N. Alberti.

Comentarios

[Índice] [Introducción] [Metástasis] [T.Primarios] [Infecciones] [Otras_lesiones] [Conclusión] [Bibliografía]

III. TUMORES PRIMARIOS


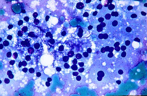
Neuroblastoma (Figura 7)

Abundante celularidad que ocasionalmente forma rosetas sobre un fondo fibrilar. Las células tienen un citoplasma escaso y núcleo muy hipercromático. La presencia de células ganglionares evidencia maduración (ganglioneuroblastoma).

figura7.jpg (53667 bytes)

Figura 7. Neuroblastoma.

 

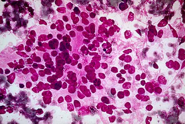
Feocromocitoma (Figura 8)

La tríada diagnóstica es la presencia de células pleomórficas (parecidas a células ganglionares y con ocasionales pseudoinclusiones nucleares), células poligonales (con un citoplasma finamente granular) y células fusiformes (de escaso citoplasma y núcleo con extremos redondeados).

figura8.jpg (20674 bytes)

Figura 8. Feocromocitoma.

 

Nódulo cortical (Figura 9)

Es preferible este término ya que la citología no puede distinguir entre un adenoma y una hiperplasia con un área nodular. Los extendidos muestran abundantes células de citoplasmas vacuolados sin atipia. Los frágiles citoplasmas se suelen romper dejando nucleos sueltos que pueden parecer malignos (semejan un neuroblastoma, un carcinoma anaplásico de pulmón o un linfoma). También es importante conocer la anisocariosis que presentan las lesiones endocrinas para no hacer un falso positivo.

figura9.jpg (65106 bytes)  

Figura 9. "Nódulo cortical".

 

Carcinoma de la corteza suprarrenal (Figura 10)

El diagnóstico puede sugerirse si, en relación con el "nódulo cortical", hay:

- menor vacuolización citoplasmática

- pérdida de cohesividad

- atipia celular

- mitosis

- necrosis

- tamaño mayor de 3.5 cm

figura10.jpg (32601 bytes) Figura 10. Carcinoma de la corteza suprarrenal.

 

 

[Índice] [Introducción] [Metástasis] [T.Primarios] [Infecciones] [Otras_lesiones] [Conclusión] [Bibliografía]


Contenido

E-mail info@conganat.org

CopyRight P. de Agustín, F. López-Ríos*, A. Pérez Barrios, N. Alberti., 1998.
Última actualización: 01 noviembre 1998 22:08