II-CVHAP.gif (16582 bytes)

Punción-Aspiración con Aguja Fina (PAAF) de la Glándula Suprarrenal

P. de Agustín, F. López-Ríos*, A. Pérez Barrios, N. Alberti.

Comentarios

[Índice] [Introducción] [Metástasis] [T.Primarios] [Infecciones] [Otras_lesiones] [Conclusión] [Bibliografía]

II. METASTASIS


Las más frecuentes son de pulmón (Figuras 1, 2 y 3), mama, riñon (Figura 4), melanoma (Figura 5), linfoma y colon (Figura 6).

Si la neoplasia ya es conocida, es muy importante comparar la imagen con la citología-histología previas. En el caso de neoplasias de origen desconocido, existen algunas claves morfológicas que pueden orientar hacia un origen concreto:

- pigmento en células plasmocitoides con atipia-melanoma

- cuerpos de Magenta-mama

- núcleos con moldeamientos y cromatina finamente granulada-pulmón (carcinoma anaplásico)

- citoplasmas claros o microvacuolados-riñón

- abundante necrosis y empalizadas nucleares-colon

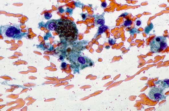
figura1.jpg (40711 bytes) Figura 1. Metástasis de carcinoma epidermoide pulmonar.
figura2.jpg (26685 bytes)

Figura 2. Metástasis de adenocarcinoma pulmonar.

figura3.jpg (49542 bytes)

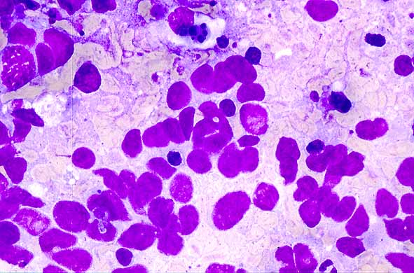
Figura 3. Metástasis de carcinoma anaplásico pulmonar.

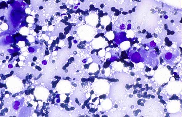
figura4.jpg (15095 bytes)

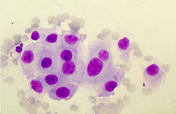
Figura 4. Metástasis de carcinoma renal.

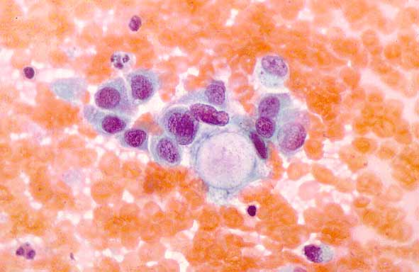
figura5.jpg (37820 bytes)

Figura 5. Metástasis de melanoma.

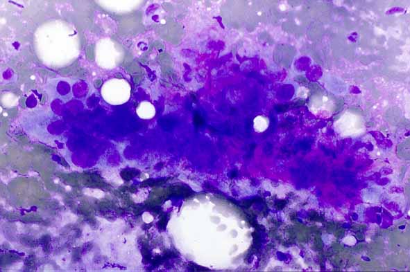
figura6.jpg (32127 bytes) Figura 6. Metástasis de carcinoma de colon.

 

[Índice] [Introducción] [Metástasis] [T.Primarios] [Infecciones] [Otras_lesiones] [Conclusión] [Bibliografía]


Contenido

E-mail info@conganat.org

CopyRight P. de Agustín, F. López-Ríos*, A. Pérez Barrios, N. Alberti., 1998.
Última actualización: 01 noviembre 1998 22:08