
PATOLOGIA DEL TRASPLANTE RENAL
PRINCIPALES CUADROS HISTOPATOLOGICOS
Dr. Eduardo Vázquez Martul
[Índice] [Introducción] [Valoración_Biopsia] [Rechazo] [Correlac.Clinico-Patológica] [Conclusiones] [Bibliografía] |
A pesar de los avances en terapia inmunosupresora, el rechazo del injerto continua siendo una de las principales causas de la disfunción y pérdida del mismo (17,18), si bien es verdad que el porcentaje de rechazos, sobre todo de tipo celular agudo, ha variado notablemente en relación con los diferentes protocolos de inmunosupresión que historicamente se vienen utilizando, En el orden práctico, y sobre todo en los casos de insuficiencia funcional del injerto, el primer objetivo de la biopsia es confirmar o descartar la existencia de un rechazo, intensidad del mismo y pronóstico.
Revisados mas de 1.000 paciente, con biopsias realizadas en nuestro centro, el diagnóstico de RA. ha variado notablemente desde un 40%, utilizando la CyA, hasta solo un 10%, en los últimos años tras la introducción del micofenolato mofetil (19).
Clásicamente el diagnóstico de R.A. se basa en las características clínicas de la disfunción del injerto y la comprobacion histológica de la existencia de una respuesta inmunológica. El rechazo ha sido dividido en varios subgrupos, teniendo en cuenta no solo la clínica sino también la cronología, el tipo de respuesta inmune (celular o humoral), y las características de las lesiones renales. Clasicamente se conoce un rechazo hiperagudo, rechazo agudo túbulo intersticial (RATI), vascular (RV), y rechazo crónico (RC).
Rechazo hiperagudo.
Es la forma más precoz de rechazo y su desarrollo es de forma inmediata una vez puesto en contacto el injerto con la circulación sanguínea del receptor. Fisiopatológicamente está mediatizado por anticuerpos circulantes preformados contra las células endoteliales del donante, así como antígenos del grupo ABO, HLA de clase 1 y mas ráramente de clase 2 (4).
Este tipo de rechazo, actualmente es muy infrecuente a partir de la estandarización de pruebas cruzadas, encaminadas a detectar anticuerpos específicos del donante (20).
Las características histopatológicas son consecuencia de la fijación de anticuerpos anti celula endotelial de los capilares glomerulares, intersticiales y de pequeñas arterias. Con la destrucción masiva de células endoteliales, se activa la cascada del complemento (C3-C3B-C5A), con una lisis leucocitaria y por último una estimulación de la coagulación con formación de trombosis oclusiva masivas, generalmente en pequeños vasos (4).
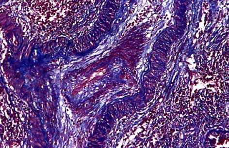
Microscópicamente existe importantes fenómenos de trombosis de pequeñas arterias, arterias terminales y capilares glomerulares, formación de hemorragias intersticiales, microinfartos e incluso una necrosis cortical renal (figura 1)
| Figura 1. Rechazo vascular acelerado. Muy semejante a rechazo hiperagudo. Intensa trombosis de arterias y capilares glomerulares. |
El estudio de inmunofluorescencia demuestra abundancia de depósitos de fibrinógeno y pueden observarse depósitos con patrón lineal de IgM, IgG.
En las casuísticas mas recientes y en nuestra experiencia un cuadro histológico similar se puede observar en pacientes retrasplantados y previamente sensibilizados, lo que se denomina rechazo vascular acelerado (4)
Rechazo vascular.
Clínicamente se manifiesta por un deterioro brusco de la función renal, generalmente resistente a bolos de metilprednisolona y conlleva una alta tasa de pérdida de injerto que alcanza un 75%.
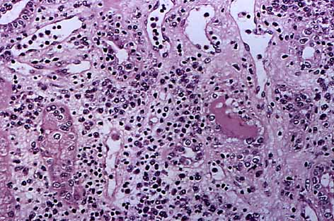
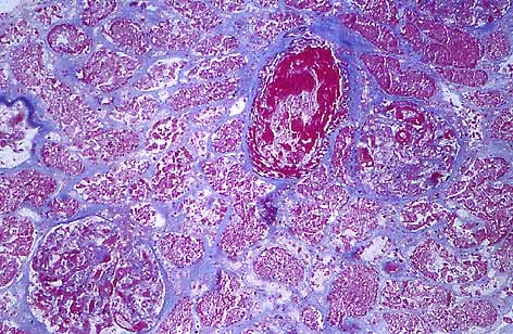
El sustrato histopatológico es similar a cualquier vasculitis, con unas características peculiares que dependerán del momento evolutivo en el que se realiza la biopsia. Puede iniciarse como una mínima lesion endotelial, con despegamiento de células endoteliales y presencia de endotelialitis, hasta una intensa necrosis fibrinoide segmentaria o transmural en los casos mas extremos (Figura 2).
El estudio de inmunofluorescencia demuestra depósitos de IgM, IgG, C3, C1Q o fibrinógeno a nivel vascular (Figura 3). Sin embargo debido al carácter segmentario de la lesión, la inmunofluorescencia puede ser totalmente negativa.
En nuestra experiencia casi siempre existía un componente inflamatorio intersticial, planteándose el diagnóstico diferencial con RATI. Otro dato histopatológico de interés y que debe inducirnos a la búsqueda de un rechazo vascular, es la presencia de intensa necrosis tubular o pequeñas areas de hemorragia focal intersticial cuya explicación no esté bien establecida.
Debemos tener la sospecha de un rechazo vascular, ante una clínica de insuficiencia renal aguda, con presencia de un componente inflamatorio intersticial, necrosis tubular aguda y resistencia al tratamiento con metilprednisolona. En nuestra casuísticas el 15% de RA fueron cortico resistentes y de estos el 5% RV (19).
Rechazo túbulo intersticial.
El rechazo agudo túbulo intersticial (RATI) es mas frecuente que el RV y puede ocurrir en cualquier momento de la evolución después del trasplante. Nuestra estadística es de un 39% de RATI antes de la instauración del micofenolato mofetil (19).
El RATI se caracteriza por una nefritis intersticial con predominio de linfocitos CD4, localizados perivascularmente y CD8 en el rechazo establecido (21).
La utilización de técnicas inmunohistoquímicas y el desarrollo de anticuerpos monoclonales, se ha aplicado en las biopsias renales para identificar sub poblaciones linfocitarias con utilidad diagnóstica y de pronóstico (22,23).
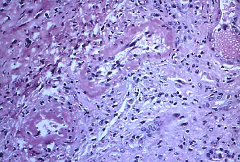
Histopatológicamente es importante demostrar una íntima relación entre dicho componente linfocitario y el epitelio tubular, fenómenos que se denomina emperipolesis y/o "túbulitis" (21). Para una mejor visualización de este fenómeno, es muy útil la tinción de PAS que delimitará con claridad la membrana basal de los túbulos y así permitirá el contaje de linfocitos permeabilizando el epitelio tubular (fig. 4).
| Figura 4. Denso infiltrado inflamatorio linfocitario con destrucción del epitelio tubular y edema (tubulitis). |
El infiltrado inflamatorio túbulo intersticial y la tubulitis, es altamente sensible para un diagnóstico de RATI, pero no siempre que exista nefritis intersticial linfocitaria debemos de hace el diagnóstico de RATI, pudiéndo existir cuadros imitadores generalmente secundarios a infeccion vírica por CMV (15).
Es muy importante la aplicación de los criterios de Banff no solo para el diagnóstico sino también para graduar la intensidad del rechazo. Basándonos en dichos crierios, es necesario la presencia de infiltrado inflamatorio linfocitario, destrucción de membrana basal tubular y tubulitis (24).
TABLA II. CLASIFICACION DE BANFF (RESUMEN)
GRADO I (AGUDO LEVE)
1.- INFLAMACIÓN INTERSTICIAL MAYOR DEL 25% DEL PARÉNQUIMA.
2.- TUBULITIS >4 CÉLULAS MONONUCLEADAS POR SECCIÓN TUBULAR O GRUPO DE 10 CÉLULAS TUBULARES.
GRADO II (AGUDO MODERADO)
1.- INFLAMACION INTERSTICIAL EVIDENTE Y TUBULITIS >10 CÉLULAS MONONUCLEARES POR SECCIÓN TUBULAR Y/O
2.- LEVE-MODERADA ARTERITIS DE LA INTIMA.
GRADO III (SEVERA)
1.- ARTERITIS SEVERA TRANSMURAL CON CAMBIOS FIBRINOIDES Y/O NECROSIS DE LA MEDIA Y/O
2.- INFARTO FOCAL O HEMORRAGIA INTERSTICIAL.
Rechazo crónico.
Es quizás el cuadro clínico e histológico mas heterogeneo y en el que factores no inmunológicos pueden jugar un importante papel en la configuración de sus características histológicas. Debido a este hecho, actualmente se tiende mas a denominar como fracaso o disfunción crónica del injerto, ya que no existe ninguna características clínica especíal. El cuadro clínico consiste generalmente en deterioro progresivo y lento de la función renal, proteinuria y/o hipertensión arterial. Sin duda alguna el rechazo crónico es un diagnóstico por exclusión, una vez descartadas otras causas que pueden cursar con el mismo cuadro clínico.
Existen diferentes causas de disfunción crónica del injerto y entre las principales debemos citar: rechazo crónico, glomerulopatía del trasplante, glomerulonefritis de novo, glomerulonefritis recurrente o recidiva (25).
El RC es la forma mas frecuente de disfunción tardía del injerto con una incidencia en los primeros 5 años post-trasplante muy variable entre un 4-40%. En nuestra serie, supone un 10% (26).
La patogenia no está bien establecida pero se conocen diversos factores de riesgo como son: compatibilidad HLA, dosis y tipos de inmunosupresión, y crisis subclínicas de RATI (21). Pero también se atribuyen factores no inmunológicos como pérdida de masa renal funcionante, isquemia, hiperlipidemia (21).
Un marcador clínico de pronóstico es la proteinuria, ya que una vez detectada tan solo un 6% de nuestros injertos eran funcionantes al 4º año (26).
Histológicamente el marcador mas importante es la fibrosis intersticial, que se puede acompañar de focos de componente inflamatorio linfocitario focal. Existe atrofia tubular, y daño glomerular inespecífico caracterízado por incremento de matriz mesangial así como lesiones de tipo isquémico con glomerulos retraídos y fenómenos de esclerosis segmentaria.
El daño vascular mas conocido es la vasculopatía crónica, consistente en una fibrosis concéntrica de la íntima que puede ocluir la luz vascular (21) (figura 5).
Esta vasculopatía crónica afecta preferentemente a arterias musculares de mediano calibre. Es frecuente observar un leve componente inflamatorio linfocitario en la íntima, y puede existir acúmulos de histiocitos espumosos.
En el orden práctico, el diagnóstico diferencial mas importante es la arterioesclerosis, sobre todo en caso de injertos de donantes de edad avanzada, y en la vasculopatía crónica secundaria a nefrotoxicidad crónica por CyA en el que se puede observar fibrosis intersticial y daño vascular preferentemente en arteriolas imitando a arteriolopatía diabética (27).
De forma similar a lo que ocurre en el RATI, existe también un consenso para graduar el RC. Esta clasificación se divide en cuatro grados atendiendo a la extensión de fibrosis intersticial, grado de atrofia tubular, e intensidad de vasculopatía (28,29).
[Índice] [Introducción] [Valoración_Biopsia] [Rechazo] [Correlac.Clinico-Patológica] [Conclusiones] [Bibliografía] |