
PATOLOGIA DEL TRASPLANTE RENAL
PRINCIPALES CUADROS HISTOPATOLOGICOS
Dr. Eduardo Vázquez Martul
[Índice] [Introducción] [Valoración_Biopsia] [Rechazo] [Correlac.Clinico-Patológica] [Conclusiones] [Bibliografía] |
Para alcanzar el mayor grado de rentabilidad diagnóstica de la biopsia renal, es fundamental un conocimiento clínico completo del paciente y el momento evolutivo en el que fue realizada la biopsia. En el curso de la evolución del injerto renal existen tres principales situaciones clínicas, con indicación biópsica que el patólogo debe estar familiarizado.
1º. Injerto Inicialmente no funcionante (IINF), denominado a todo aquel injerto que necesita diálisis al menos durante los primeros 10 días tras el trasplante (9).
La disfunción aguda de la función renal, y su relación con el pronóstico del injerto a largo plazo, es motivo actual de controversia (9,30). La alteración funcional inicial siempre plantea un diagnóstico diferencial entre crisis de rechazo agudo y NTA.
En nuestro centro hemos revisado un total de 148 biopsias realizadas durante los primeros 20 días post-trasplante. En este estudio, el 65% de las biopsias fueron catalogadas de NTA, pero solo en el 40% de estos casos el cuadro histologico era "puro" y limitado exclusivamente a las alteraciones epiteliales tubulares.
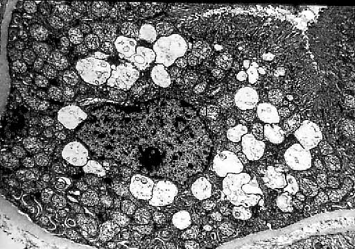
En este primer período, también puede existir criterios histológicos compatibles con nefrotoxicidad aguda por CyA (Figuras 6, 7 y 8). La microvacuolización isométrica de las células del epitelio proximal tubular, la presencia de megamitocondrias y la dilatación de capilares peritubulares, no son "per se" específicas de nefrotoxicidad pero en nuestra experiencia son altamente sugerentes de este diagnóstico.
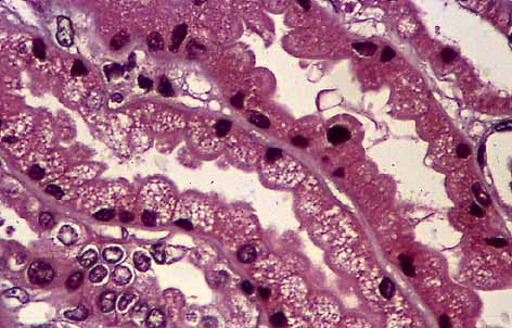
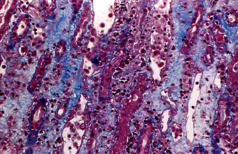
Figura 6. Túbulos con signos de necrosis tubular. Importante descamación. |
| Figura 7. Tubulo proximal con microvacuolización isométrica. |
| Figura 8. Imagen ultraestructural de un túbulo proximal con intensa vacuolización compatible con toxicidad por CyA. |
Durante este período inicial también puede darse crisis de RATI o de RV. En el 16% de nuestros casos, existía un predominio de infiltración inflamatoria intersticial, compatible de rechazo agudo y/o lesión bordeline según los criterios de Banff (24).
2º Injerto con disfunción tardia: En el otro extremo cronológico, es decir, injertos con deterioro tardía de la función, el sustrato histopatológico puede ser heterogeneo y poco específico.
Existen diferentes causas que suelen cursar con proteinuria, síndrome nefrótico, e incremento paulatino de la creatinina sérica. El principal diagnóstico es el de RC. Sin embargo, existen otras patología a tener en cuenta como es la glomerulopatía del trasplante (GT), glomerulonefritis "de novo" y "recurrentes", y nefrotoxicidad crónica de CyA (25-26).
La asociación de fibrosis intersticial, vasculopatía crónica y componente inflamatorio linfocitario nos ayudará a confirmar el diagnóstico de RC (21)
Este diagnóstico es el mas frecuente en nuestra casuística de pacientes con deterioro lento de la función renal (26).
La glomerulopatía del trasplante, se define como un cuadro con características histológicas ultraestructurales e inmunológicas diferentes a cualquier otra glomerulopatía (31). La incidencia de GT en nuestra casuística es de un 4% con respecto a la totalidad de diagnósticos en biopsias de trasplante (26). La incidencia es variable según las estadísticas ya que es difícil precisar su incidencia real al no existir criterios uniformes para su diagnóstico.
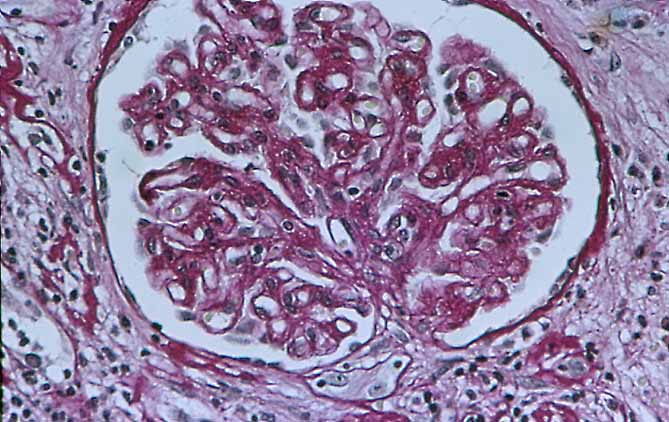
El criterio histológico mas importante es el engrosamiento de la membrana basal glomerular con presencia de dobles contornos, ensanchamiento subendotelial, característica muy frecuente en el estudio ultraestructural (fig 9 y 10). En el estudio de inmunofluorescencia son muy frecuentes los depósitos exclusivamente de IgM (21,31).
| Figura 9. Glomerulopatía del Trasplante. Ensanchamiento mesangial y presencia de dobles contornos en paredes capilares. |
| Figura 10. Glomerulopatía del trasplante. Estudio ultraestructural con importante engrosamiento de Membrana basal y glomerular. |
Enfermedades glomerulares recurrentes. Casi la totalidad de enfermedades glomerulares son susceptibles de recidiva en el injerto. En un principio los criterios diagnósticos son los mismos que en los riñones nativos, pero varian de forma importante en relación al pronóstico. La Esclerosis-Hialinosis focal y segmentaria es una de las entidades con mayor grado de recurrencia y que conllevan muy mal pronóstico del injerto. El diagnóstico diferencial con esclerosis post-isquémica, o lesión glomerular post-hiperfiltración, es muy difícil e incluso imposible de realizar.
La glomerulonefritis mesangiocapilar de tipo II, o enfermedad de depósitos densos tiene un alto índice de recurrencia que es superior al 80% (10). La presencia de abundantes depósitos de C3 y la demostración de depósitos electrodensos contínuos, en el estudio ultraestructural, a lo largo de la membrana basal glomerular es clave para su diagnóstico. La glomerulonefritis mesangiocapilar puede plantear un diagnóstico diferencial con GT, al observarse dobles contornos en ambas entidades. En estos casos la presencia de abundantes depósitos C3 nos inclinará a hacer el diagnóstico de glomerulonefritis mesangiocapilar.
Sobre un total de 500 trasplantes revisados en una primera etapa, pudimos recoger solo 7 casos de glomerulonefritis de recidiva: en cuatro casos era una esclerosis-hialinosis focal y segmentaria, otro caso glomerulonefritis IgA, y por último un caso de glomerulonefritis mesangiocapilar (26).
La microangiopatía trombótica (MAT), asociada a síndrome hemolítico urémico, es otra lesión que podemos observar en la biopsia del injerto renal. Su diagnóstico es importante por conllevar un mal pronóstico. Puede haber casos de recidiva, así como otros secundarios a rechazo vascular acelerado. El cuadro histológico puede ser similar a la GT, pero la clínica y la evolución es totalmente diferente. En cualquier caso es muy difícil observar una MAT en el contexto de fracaso crónico del injerto. Estos cuadros se suelen dar mas frecuentemente en un primer período, sobre todo si se trata de un SHU recurrente. En relación con este cuadro, se ha citado lesiones glomerulares superponibles secundarios a la toxicidad por CyA, debido a la intensa lesión endotelial producida por la misma (32).
En relación con biopsias de injertos con deterioro crónico de la función, debemos de comentar aquellos cuadros secundarios a mecanismos no inmunológicos tales como la nefrotoxicidad crónica de CyA (33), los secundarios a vasculopatía hipertensiva, hiperfiltración y por último isquemia crónica (34). Todos tienen como común denominador la fibrosis intersticial, diferentes grados de vasculopatía y por último lesión glomerular.
Aunque solo sea brevemente no podemos dejar de mencionar otros cuadros causantes de deterioro brusco de la función renal y que pueden causar infiltración inflamatoria intersticial imitanto a un RATI. Entre estos debemos siempre considerar nefritis intersticiales secundaria a pielonefritis post-reflujo, linfoceles, u otras etiologías sobre todo debido a CMV (15). En estos los casos de reflujo, el infiltrado inflamatorio suele ser mas poliformo, con frecuencia se observan acúmulos de leucocitos polimorfonucleares intratubulares. En nuestra experiencia particular la nefritis intersticial producida o asociada a CMV dificulta de forma importante el diagnóstico diferencial con una crisis de RATI.
[Índice] [Introducción] [Valoración_Biopsia] [Rechazo] [Correlac.Clinico-Patológica] [Conclusiones] [Bibliografía] |