Comunicación
      Nº 067

IICVHAPp.gif (9537 bytes)

IndiceIndice

TUMOR PRIMITIVO NEUROECTODERMICO DE LOCALIZACION UTERINA.
PRESENTACION DE UN CASO.

Alvarez-Argüelles H; Martín Herrera AI; García Castro C; Herreros V; Manzano Sanz C; Martín Corriente M, Diaz-Flores L.

Comentarios

[TITULO] [INTRODUCCIÓN] [MATERIAL Y METODO] [PRESENTACION DEL CASO] [ICONOGRAFÍA] [ICONOGRAFÍA-2] [DISCUSIÓN] [BIBLIOGRAFÍA]

ICONOGRAFÍA

DISCUSIÓN


ICONOGRAFÍA-2

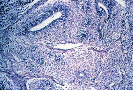
fig. 5
Fig 5: Areas tumorales de aspecto glial en las que se hacen evdentes túbulos neuroepiteliales (H-E x 100).

 

fig. 6
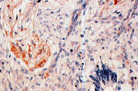
Fig 6: Masas y cordones tumorales mostrandso inmunoreacción positiva para la enolasa específica neuronal (PAP x 100).

 

fig. 7
Fig 7: Células gliales mostrando inmunotinción positiva para la proteina ácida gliofibrilar (PAP x 400).

 


[TITULO] [INTRODUCCIÓN] [MATERIAL Y METODO] [PRESENTACION DEL CASO] [ICONOGRAFÍA] [ICONOGRAFÍA-2] [DISCUSIÓN] [BIBLIOGRAFÍA]

ICONOGRAFÍA

DISCUSIÓN


Alvarez-Argüelles H; Martín Herrera AI; García Castro C; Herreros V; Manzano Sanz C; Martín Corriente M, Diaz-Flores L.
Copyright © 1998. Reservados todos los derechos.