Comunicación
      Nº 067

IICVHAPp.gif (9537 bytes)

IndiceIndice

TUMOR PRIMITIVO NEUROECTODERMICO DE LOCALIZACION UTERINA.
PRESENTACION DE UN CASO.

Alvarez-Argüelles H; Martín Herrera AI; García Castro C; Herreros V; Manzano Sanz C; Martín Corriente M, Diaz-Flores L.

Comentarios

[TITULO] [INTRODUCCIÓN] [MATERIAL Y METODO] [PRESENTACION DEL CASO] [ICONOGRAFÍA] [ICONOGRAFÍA-2] [DISCUSIÓN] [BIBLIOGRAFÍA]

PRESENTACION DEL CASO

ICONOGRAFÍA-2


ICONOGRAFÍA

fig. 1
Fig 1: Formación nodular expandiendo cavidad uterina, Ambos ovarios y oviductos son normales.

 

fig. 2
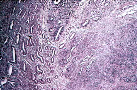
Fig 2: Tumor hipercelular en forma de masas y cordones sólidos que se extienden por endometrio y miometrio (H-E x 40).

 

fig. 3
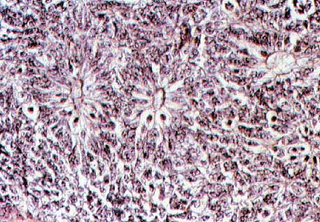
Fig 3: Elementos tumorales organizando rosetas ependimarias y de Homer _Wright (H-E x 200).

 

fig. 4
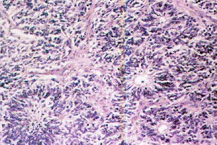
Fig 4: Típicas rosetas ependimarias con ribete luminal de blefaroplastos (PTAH x 400)

 


[TITULO] [INTRODUCCIÓN] [MATERIAL Y METODO] [PRESENTACION DEL CASO] [ICONOGRAFÍA] [ICONOGRAFÍA-2] [DISCUSIÓN] [BIBLIOGRAFÍA]

PRESENTACION DEL CASO

ICONOGRAFÍA-2


Alvarez-Argüelles H; Martín Herrera AI; García Castro C; Herreros V; Manzano Sanz C; Martín Corriente M, Diaz-Flores L.
Copyright © 1998. Reservados todos los derechos.