Comunicación
      Nº 066

IICVHAPp.gif (9537 bytes)

IndiceIndice

TUMOR RABDOIDE MALIGNO DE LA PIEL ASOCIADO A TUMORACION CUTANEA BENIGNA TIPO MIOFIBROMATOSO.

Alvarez-Argüelles, H; García Castro, C; García Montelongo, R; Manzano Sanz, C; Herreros, V; Guerra, A; Diaz-Flores, L.

Comentarios

[TITULO] [INTRODUCCIÓN] [CASO CLÍNICO] [RESULTADOS] [ICONOGRAFÍA] [ICONOGRAFÍA-2] [DISCUSIÓN] [BIBLIOGRAFÍA]

ICONOGRAFÍA

DISCUSIÓN


ICONOGRAFÍA-2

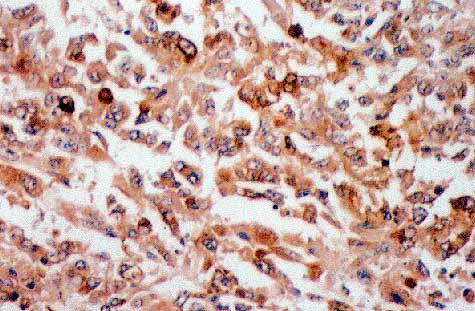
fig. 6
Fig 6: Inmunohistoquímicamente, en el tumor rabdoide las células tumorales expresan respectivamente, positividad para la vimentina, actina muscular específica y citoqueratina (PAP x 100-200-400).

 

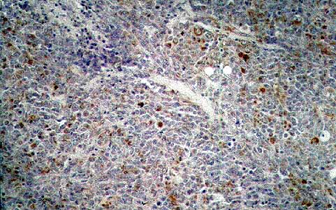
fig. 7
Fig 7: Inmunohistoquímicamente, en el tumor rabdoide las células tumorales expresan respectivamente, positividad para la vimentina, actina muscular específica y citoqueratina (PAP x 100-200-400).

 

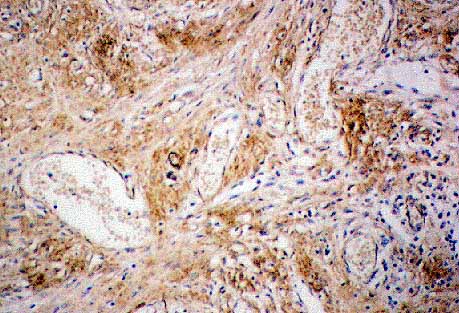
fig. 8
Fig 8: Inmunohistoquímicamente, en el tumor rabdoide las células tumorales expresan respectivamente, positividad para la vimentina, actina muscular específica y citoqueratina (PAP x 100-200-400).

 

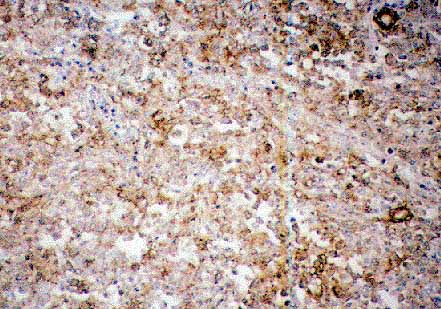
fig. 9
Fig 9: Inmunotinción positiva de patrón arremolinado para la actina específica muscular en el tumor miofibromatoso (PAP x 200).

 


[TITULO] [INTRODUCCIÓN] [CASO CLÍNICO] [RESULTADOS] [ICONOGRAFÍA] [ICONOGRAFÍA-2] [DISCUSIÓN] [BIBLIOGRAFÍA]

ICONOGRAFÍA

DISCUSIÓN


Alvarez-Argüelles, H; García Castro, C; García Montelongo, R; Manzano Sanz, C; Herreros, V; Guerra, A; Diaz-Flores, L.
Copyright © 1998. Reservados todos los derechos.