Comunicación
      Nº 066

IICVHAPp.gif (9537 bytes)

IndiceIndice

TUMOR RABDOIDE MALIGNO DE LA PIEL ASOCIADO A TUMORACION CUTANEA BENIGNA TIPO MIOFIBROMATOSO.

Alvarez-Argüelles, H; García Castro, C; García Montelongo, R; Manzano Sanz, C; Herreros, V; Guerra, A; Diaz-Flores, L.

Comentarios

[TITULO] [INTRODUCCIÓN] [CASO CLÍNICO] [RESULTADOS] [ICONOGRAFÍA] [ICONOGRAFÍA-2] [DISCUSIÓN] [BIBLIOGRAFÍA]

RESULTADOS

ICONOGRAFÍA-2


ICONOGRAFÍA

fig. 1
Fig 1: Aspecto macroscópico de la lesión de la espalda de la paciente.

 

fig. 2
Fig 2: Dos crecimientos tumorales cutáneos enfrentados. La lesión más hipercelular corresponde al crecimiento sarcomatoso rabdoide ( H-E x 40).

 

fig. 3
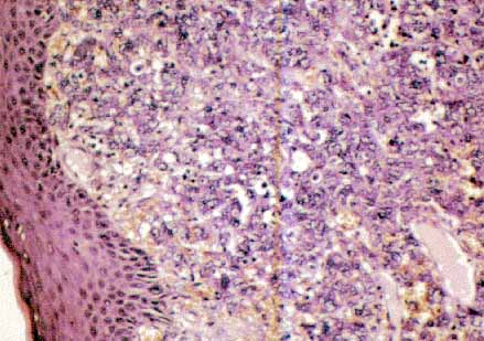
Fig 3: Tumor rabdoide maligno de la piel. Se observa el dermis masivamente infiltrado por células tumorales (H-E x 200).

 

fig. 4
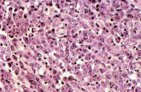
Fig 4: Con mayor aproximación se aprecian células rabdoides, algunas con características inclusiones hialinas paranucleares (H-E x 400).

 

fig. 5
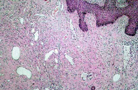
Fig 5: Tumor miofibromatoso. En Dermis se observa proliferación fusocelular arremolinada con fibras de colágena, junto a estructuras vasculares ectásicas (H-E x100).

 


[TITULO] [INTRODUCCIÓN] [CASO CLÍNICO] [RESULTADOS] [ICONOGRAFÍA] [ICONOGRAFÍA-2] [DISCUSIÓN] [BIBLIOGRAFÍA]

RESULTADOS

ICONOGRAFÍA-2


Alvarez-Argüelles, H; García Castro, C; García Montelongo, R; Manzano Sanz, C; Herreros, V; Guerra, A; Diaz-Flores, L.
Copyright © 1998. Reservados todos los derechos.