Comunicación
      Nº 055

IICVHAPp.gif (9537 bytes)

IndiceIndice

TAMOXIFENO Y ENDOMETRIO

Alberto de la Cruz Mera y *Alfonso Mariño Cotelo

Comentarios

[TITULO] [INTRODUCCION] [MATERIAL Y METODOS] [RESULTADOS] [ICONOGRAFIA] [ICONOGRAFIA-2] [DISCUSION] [BIBLIOGRAFIA]

ICONOGRAFIA

DISCUSION


ICONOGRAFIA-2

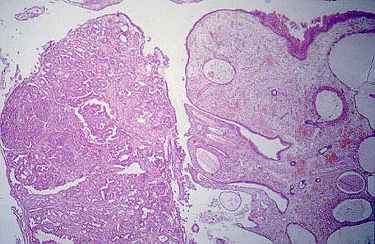
figura 5
FIGURA 5.- (H-E x40) Legrado endometrial con fragmento de polipo con glandulas quisticas y otro de endometrio con glandulas amontonadas e irregulares, con epitelios atipicos, correspondiente a una hiperplasia atipica.

 

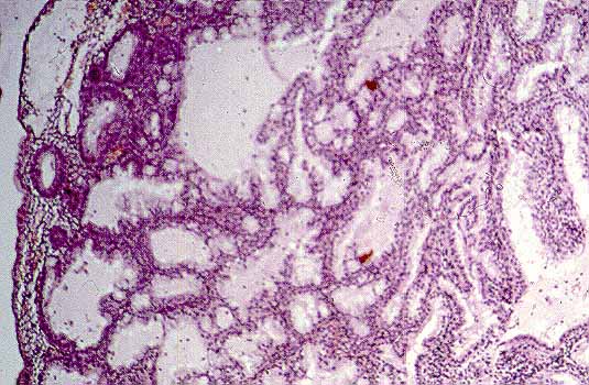
figura 6
FIGURA 6.- (H-E x100) Glandulas endometriales tapizadas por un epitelio cilindrico mucosecretor metaplasico.

 

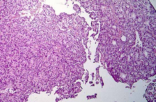
figura 7
FIGURA 7.- (H-E x40) Legrado uterino con fragmentos de tumor maligno compuesto por glandulas muy compactas y apretadas entre si, correspondientes a un adenocarcinoma endometrioide.

 


[TITULO] [INTRODUCCION] [MATERIAL Y METODOS] [RESULTADOS] [ICONOGRAFIA] [ICONOGRAFIA-2] [DISCUSION] [BIBLIOGRAFIA]

ICONOGRAFIA

DISCUSION


Alberto de la Cruz Mera y *Alfonso Mariño Cotelo
Copyright © 1998. Reservados todos los derechos.