Comunicación
      Nº 055

IICVHAPp.gif (9537 bytes)

IndiceIndice

TAMOXIFENO Y ENDOMETRIO

Alberto de la Cruz Mera y *Alfonso Mariño Cotelo

Comentarios

[TITULO] [INTRODUCCION] [MATERIAL Y METODOS] [RESULTADOS] [ICONOGRAFIA] [ICONOGRAFIA-2] [DISCUSION] [BIBLIOGRAFIA]

RESULTADOS

ICONOGRAFIA-2


ICONOGRAFIA

figura 1
FIGURA 1.- Endometrio atrofico (H-E x40) en especimen de histerectomia.

 

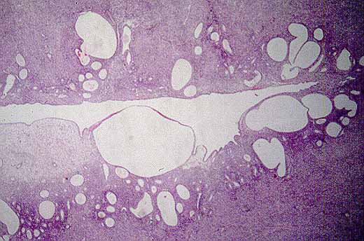
figura 2
FIGURA 2.- Polipo endometrial (H-E x40) obtenido mediante legrado con glandulas quisticamente dilatadas.

 

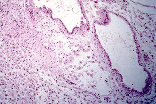
figura 3
FIGURA 3.- (H-E x100) Magnificación de la imagen anterior en un area de decidualización estromal.

 

figura 4
FIGURA 4.- ( H-E x100) Hiperplasia endometrial simple, con glandulas irregulares y epitelios sin atipia.

 


[TITULO] [INTRODUCCION] [MATERIAL Y METODOS] [RESULTADOS] [ICONOGRAFIA] [ICONOGRAFIA-2] [DISCUSION] [BIBLIOGRAFIA]

RESULTADOS

ICONOGRAFIA-2


Alberto de la Cruz Mera y *Alfonso Mariño Cotelo
Copyright © 1998. Reservados todos los derechos.