Comunicación
      Nº 038

IICVHAPp.gif (9537 bytes)

IndiceIndice

ESTUDIO ÓPTICO, POR MICROSCOPÍA DE ALTA RESOLUCIÓN (MOAR) Y MICROSCOPIÁ ELECTRONICA DE TUMORES INMADUROS DE TEJIDO ADIPOSO.

SPITALE, LUIS S.*; ORTIZ, SUSANA*; HLIBA, ERNESTO**; FREDE, SILVIA S**; OLIVERA, J.

Comentarios

[TITULO] [INTRODUCCIÓN] [MATERIAL Y METODO] [RESULTADOS] [ICONOGRAFÍA] [ICONOGRAFÍA-2] [COMENTARIOS] [CONCLUSIONES] [BIBLIOGRAFÍA]

RESULTADOS

ICONOGRAFÍA-2


ICONOGRAFÍA

fig. 1
Figura 1. Apariencia macroscópica de un hibernoma , bien circunscripto y de color canela.

 

Fig. N°2
Figura 2. Aspecto del hibernoma de 8 cm de diámetro mayor, bien delimitado y color parduzco.

 

Fig.N°3
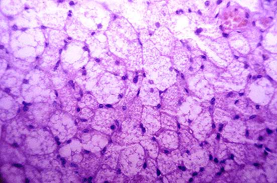
Figura 3. Aspecto uniforme del tumor con células de citoplasma granular y núcleos pequeños desplazados hacia la periferia. M.Luz. 400 x H.E.

 

Fig. N°4
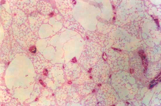
Figura 4. Se observan las células de grasa parda con citoplasma granular y en estrecha relación con los vasos sanguíneos. MOAR.400x Fucsina

 


[TITULO] [INTRODUCCIÓN] [MATERIAL Y METODO] [RESULTADOS] [ICONOGRAFÍA] [ICONOGRAFÍA-2] [COMENTARIOS] [CONCLUSIONES] [BIBLIOGRAFÍA]

RESULTADOS

ICONOGRAFÍA-2


SPITALE, LUIS S.*; ORTIZ, SUSANA*; HLIBA, ERNESTO**; FREDE, SILVIA S**; OLIVERA, J.
Copyright © 1998. Reservados todos los derechos.