Comunicación
      Nº 037

IICVHAPp.gif (9537 bytes)

IndiceIndice

PENFIGO: ESTUDIO CLINICO-PATOLOGICO

CABALIER MARIA E.D de, BURGOS ELISA B., HLIBA ERNESTO

Comentarios

[TITULO] [INTRODUCCIÓN] [MATERIAL Y METODOS] [RESULTADOS] [ICONOGRAFÍA] [ICONOGRAFÍA-2] [DISCUSIÓN] [CONCLUSIONES] [BIBLIOGRAFÍA]

ICONOGRAFÍA

DISCUSIÓN


ICONOGRAFÍA-2

fig 6
Figura 6. Inmunomarcación marrón-dorada de membrana citoplasmática de las células de Langerhans (HLA-DR Alpha Chain de Dako) (400X).

 

fig 7
Figura 7. Inmunofluorescencia directa, imagen en panal de abeja correspondiente a Pénfigo vulgar (400X).

 

fig 8
Figura 8. M.O.A.R. con metenamina plata , se observa marcada elongación de los desmosomas (1000X).

 

fig 9
Figura 9. Techo de la ampolla suprabasal. Células acantolíticas desprendiéndose hacia la cavidad ampollar M.O.A.R.(100X) (Fucsina básica y Azul de Metileno)

 

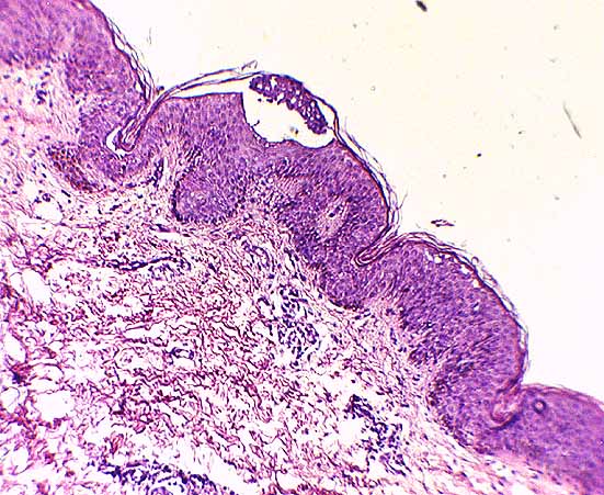
fig 10
Figura 10. Pénfigo Foliáceo, en epidermis se observa ampolla subcórnea con colgajos de células acantolíticas en su interior. Infiltrado Inflamatorio mononuclear pericapilar en dermis superficial. (HE) (40X)

 


[TITULO] [INTRODUCCIÓN] [MATERIAL Y METODOS] [RESULTADOS] [ICONOGRAFÍA] [ICONOGRAFÍA-2] [DISCUSIÓN] [CONCLUSIONES] [BIBLIOGRAFÍA]

ICONOGRAFÍA

DISCUSIÓN


CABALIER MARIA E.D de, BURGOS ELISA B., HLIBA ERNESTO
Copyright © 1998. Reservados todos los derechos.