Comunicación
      Nº 037

IICVHAPp.gif (9537 bytes)

IndiceIndice

PENFIGO: ESTUDIO CLINICO-PATOLOGICO

CABALIER MARIA E.D de, BURGOS ELISA B., HLIBA ERNESTO

Comentarios

[TITULO] [INTRODUCCIÓN] [MATERIAL Y METODOS] [RESULTADOS] [ICONOGRAFÍA] [ICONOGRAFÍA-2] [DISCUSIÓN] [CONCLUSIONES] [BIBLIOGRAFÍA]

RESULTADOS

ICONOGRAFÍA-2


ICONOGRAFÍA

fig 1
Figura 1. Paciente femenina de 60 años de edad que muestra en el tronco (espalda) lesiones ampollares con ruptura de su techo, típica del Pénfigo Vulgar.

 

fig2
Figura 2. Detalle de lesión ampollar con ruptura de su techo, típica de Pénfigo Vulgar. Fondo eritematoso y contenido seroso.

 

fig 3
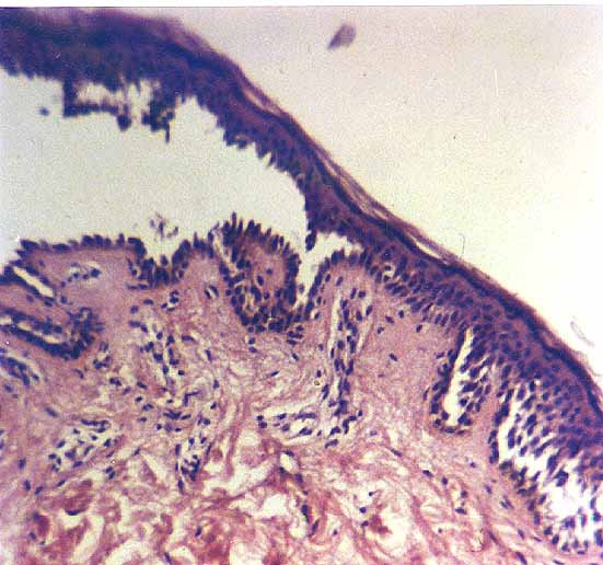
Figura 3. Piel con hendidura y separación suprabasal correspondiente a Pénfigo Vulgar. (H.E) (100X).

 

fig 4
Figura 4. Células acantolíticas con macronucleosis sobre fondo hemático. Giemsa (800X).

 

fig 5
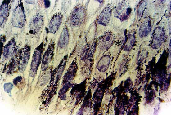
Figura 5. Piel que muestra melanocitos y células de Langerhans con sus proyecciones dendríticas puestas en evidencia con la técnica de Del Río Hortega. (100X).

 


[TITULO] [INTRODUCCIÓN] [MATERIAL Y METODOS] [RESULTADOS] [ICONOGRAFÍA] [ICONOGRAFÍA-2] [DISCUSIÓN] [CONCLUSIONES] [BIBLIOGRAFÍA]

RESULTADOS

ICONOGRAFÍA-2


CABALIER MARIA E.D de, BURGOS ELISA B., HLIBA ERNESTO
Copyright © 1998. Reservados todos los derechos.