LINFOMA MALT DE BAJO GRADO GASTRICO ASOCIADO A UN LINFOMA NO HODGKIN B DE BAJO GRADO INTESTINAL E INFECCION POR HELICOBACTER PYLORI CagA+.
GONGORA JARA, HUGO(*)(**); FREDE, SILVIA(*); ORTIZ, SUSANA(*); HLIBA, ERNESTO(*); DE LA CUESTA, PEDRO(**); BISARO, LYDA(+);HERNANDEZ, CARLOS A.(+); DOUGLAS, GUILLERMO(**); KAEN, LUIS A.(**)

ICONOGRAFÍA-2
 |
|
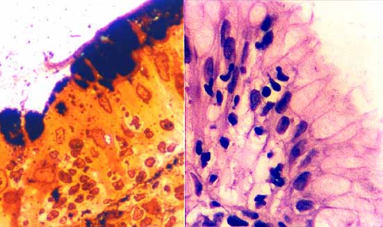
Figura 7b.- Imágenes comparativas del tropismo neoplásico en epitelio superficial gástrico, vistas con dos métodos distintos a similares aumentos(400x): Izq: M.O.A.R. Metenamina-Plata. Der: H.E. |
 |
|
Figura 8.- Sector de epitelio superficial gástrico que muestra Helicobacter pylori entre células epiteliales. Las células circundantes presentan cambios de vacuolización citoplasmática. M.O.A.R. Fucsina-Toluidina 400x. Inset: 1000x |
 |
|
Figura 9.- Izq: Secreción de tipo apócrina en luz glandular con H. Pylori en la zona inferior. 400x Der: Epitelio gástrico de superficie con cambios degenerativos y microvacuolizaciones citoplasmáticas. H. Pylori, uno de ellos adherido al citoplasma de una célula epitelial. 1000x |
 |
|
Figura 10.- Izq: Inmunomarcación bcl-2 (+) en el nódulo linfoide de aspecto neoplásico y en células que infiltran difusamente entre las glándulas. También resultaron (+) para CD20 y cadena ligera lambda. 40x. Der: Inmunomarcación positiva para cadena ligera lambda en un complejo linfoepitelial. 1000x |
 |
|
Figura 11.- Inmunobloting: 3 bandas correspondientes a control positivo sin linfoma (izq), caso en estudio (centro) y control negativo (der). Se observa marcada positividad para las proteínas específicas de 120 kDa (CagA+), 87kDa (VacA+), 66 kDa (Ureasa B), 29 kDa (Ureasa A) |
 |
|
Figura 12.- Izq: Dos células epiteliales, una de ellas con gotas de secreción mucosa que contienen en su interior (flechas) estructuras de tipo fagolisosomas. 6000x. Der Sup: Borde luminal glandular con microvellosidades y dos estructuras bacilares compatibles con Helicobacter pylori en corte tangencial. El central con parte de flagelo visible en un extremo. 15000x. Der inf: Célula linfoide neoplásica dentro de la capa epitelial glandular. 4500x. |
GONGORA JARA, HUGO(*)(**); FREDE, SILVIA(*); ORTIZ, SUSANA(*); HLIBA, ERNESTO(*); DE LA CUESTA, PEDRO(**); BISARO, LYDA(+);HERNANDEZ, CARLOS A.(+); DOUGLAS, GUILLERMO(**); KAEN, LUIS A.(**)
Copyright © 1998. Reservados todos los derechos.