LINFOMA MALT DE BAJO GRADO GASTRICO ASOCIADO A UN LINFOMA NO HODGKIN B DE BAJO GRADO INTESTINAL E INFECCION POR HELICOBACTER PYLORI CagA+.
GONGORA JARA, HUGO(*)(**); FREDE, SILVIA(*); ORTIZ, SUSANA(*); HLIBA, ERNESTO(*); DE LA CUESTA, PEDRO(**); BISARO, LYDA(+);HERNANDEZ, CARLOS A.(+); DOUGLAS, GUILLERMO(**); KAEN, LUIS A.(**)

ICONOGRAFÍA
 |
|
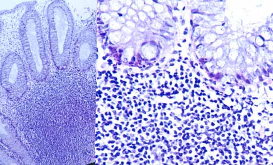
Figura 1.- Izq: Panorámica de colon, infiltrado de células linfoides sin compromiso glandular H.E. 40x Der: Detalle de la infiltración respetando las glándulas. H.E. 400x |
 |
|
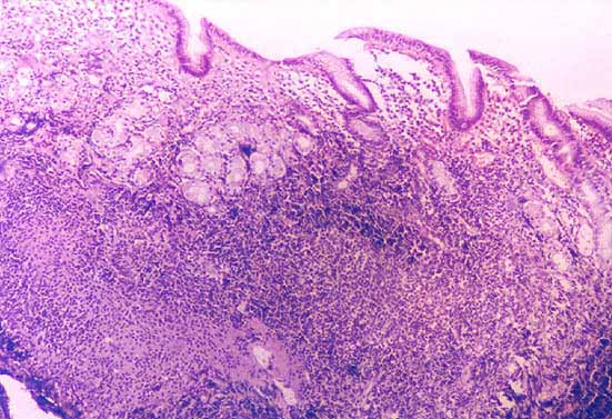
Figura 2.- Panorámica de biopsia gástrica endoscópica que muestra infiltración difusa de células linfoides y reemplazo de algunas glándulas. H.E. 40x |
 |
|
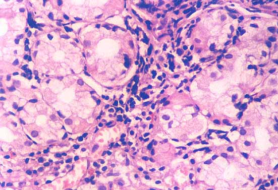
Figura 3.- Complejos linfoepiteliales en algunos polos glandulares con cambios degenerativos eosinófilos en células epiteliales. H.E. 200x |
 |
|
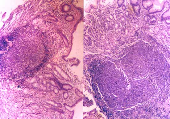
Figura 4.- Panorámica de dos biopsias de mucosa gástrica. Izq: Folículo linfoide centro claro de tipo reactivo. Der: Nódulo linfoide homogéneo de aspecto neoplásico. (Infiltración folicular del centro claro). H.E. 40x |
 |
|
Figura 5.- Cambios degenerativos eosinófilos en glándulas surcadas por la infiltración neoplásica. Izq: H.E. 200x. Der: Se observa conservación de la membrana basal y desintegración de aspecto granular eosinófila de las células epiteliales. Algunas viables toman aún la coloración al igual que las células del linfoma. M.O.A.R. Metenamina-Plata.200x |
 |
|
Figura 6.- Arriba: Distintos grados de infiltración linfoepitelial glandular. M.O.A.R.-Metenamina-plata. 400x Abajo: Detalles de la figura de arriba. Izq: Grupo de células del linfoma formando un verdadero complejo. Nótese el desplazamiento y amoldamiento de los núcleos de las células epiteliales. Der: Se pueden apreciar claramente las indentaciones nucleares y la moderada cantidad de citoplasma claro de tres células infiltrando otra glándula. 1000x |
 |
|
Figura 7a.- Izq: Corion con células tumorales del linfoma e infiltración al epitelio de superficie.400x Der: Detalles: Núcleos de células neoplásicas con una gran hendidura central y otros con dos o tres indentaciones pequeñas. M.O.A.R. Metenamina-Plata. 1000x |
GONGORA JARA, HUGO(*)(**); FREDE, SILVIA(*); ORTIZ, SUSANA(*); HLIBA, ERNESTO(*); DE LA CUESTA, PEDRO(**); BISARO, LYDA(+);HERNANDEZ, CARLOS A.(+); DOUGLAS, GUILLERMO(**); KAEN, LUIS A.(**)
Copyright © 1998. Reservados todos los derechos.