GLOMERULONEFRITIS MESANGIAL Y NEFRITIS INTERSTICIAL ASOCIADA A SINDROME DE SJÖGREN PRIMARIO CON INSUFICIENCIA RENAL CRONICA Y DIABETES INSIPIDA.
ESTUDIO ESTRUCTURAL Y CONSIDERACIONES CLINICAS.
SESIN A. M.(*), GONGORA JARA H.(**), SESIN J.(*), MARTELLOTTO G.(**), HLIBA E.(**), GAMRON S.(x), BARBERIS G.(x), ONETTI C.M.(x)

ICONOGRAFÍA-2
 |
|
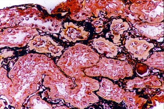
Figura 6. Túbulos con diferentes grados de alteración, destacándose engrosamiento y plegamiento de algunas membranas tubulares, entre ellos aumento del conectivo intersticial. M.O.A.R. Metenamina-plata 200x |
 |
|
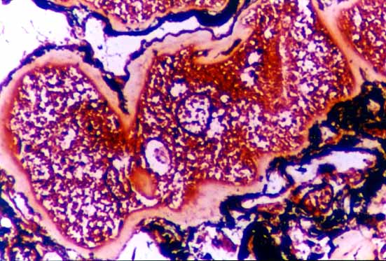
Figura 7. Detalle del túbulo con marcado engrosamiento de la membrana basal y severas alteraciones en las células epiteliales. M.O.A.R. Metenamina-plata 1000x |
 |
|
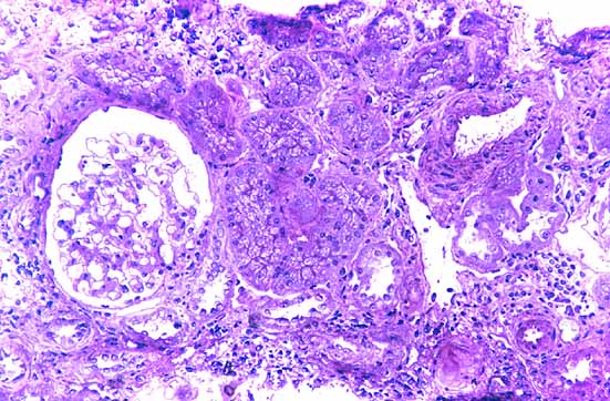
Figura 8. Panorámica que muestra un glomérulo con incremento de la matriz mesangial, rodeado de túbulos, algunos con reducción de su luz y vasos engrosados. Alrededor de ellos se observa infiltrado inflamatorio mononuclear. M.O.A.R. Fucsina-Azul de Toluidina. 40x |
 |
|
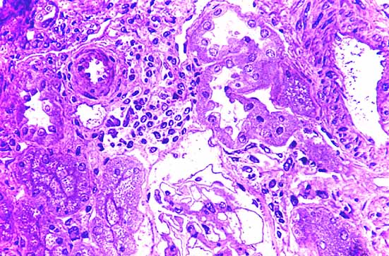
Figura 9. Detalle del infiltrado inflamatorio linfoplasmocitario intersticial entre los túbulos, vasos y glomérulo. M.O.A.R. Fucsina-Azul de Toluidina. 200x |
 |
|
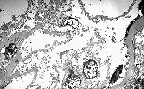
Figura 10. Confirmación por Microscopia Electrónica de Transmisión del incremento de la matriz mesangial con conservación de los capilares glomerulares. En el margen derecho Cápsula de Bowman. Aumentos originales 1500x |
SESIN A. M.(*), GONGORA JARA H.(**), SESIN J.(*), MARTELLOTTO G.(**), HLIBA E.(**), GAMRON S.(x), BARBERIS G.(x), ONETTI C.M.(x)
Copyright © 1998. Reservados todos los derechos.