Comunicación
      Nº 035

IICVHAPp.gif (9537 bytes)

IndiceIndice

GLOMERULONEFRITIS MESANGIAL Y NEFRITIS INTERSTICIAL ASOCIADA A SINDROME DE SJÖGREN PRIMARIO CON INSUFICIENCIA RENAL CRONICA Y DIABETES INSIPIDA.
ESTUDIO ESTRUCTURAL Y CONSIDERACIONES CLINICAS.

SESIN A. M.(*), GONGORA JARA H.(**), SESIN J.(*), MARTELLOTTO G.(**), HLIBA E.(**), GAMRON S.(x), BARBERIS G.(x), ONETTI C.M.(x)

Comentarios

[TITULO] [INTRODUCCIÓN] [MATERIAL Y METODOS] [RESULTADOS] [ICONOGRAFÍA] [ICONOGRAFÍA-2] [COMENTARIOS Y DISCUSIÓN] [CONCLUSIONES] [BIBLIOGRAFÍA]

RESULTADOS

ICONOGRAFÍA-2


ICONOGRAFÍA

fig 1
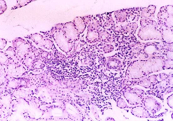
Figura 1. Glándula salivar menor (mucosa yugal). Infiltrado inflamatorio mononuclear con destrucción de algunos ácinos. 100x H.E.

 

fig 2
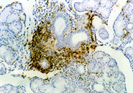
Figura 2. Marcación de linfocitos T alrededor de conductos y entre los ácinos . . Inmunohistoquímica PAN T 100x

 

fig 3
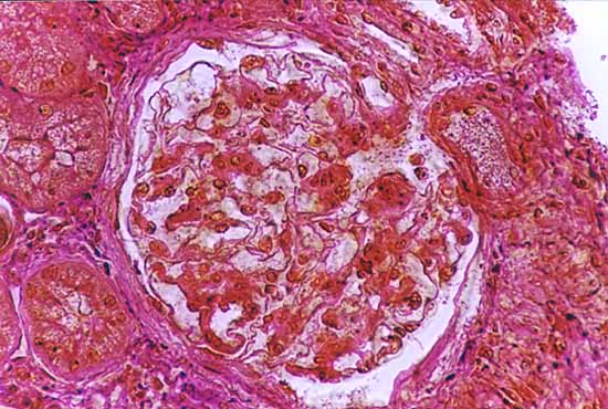
Figura 3. Glomérulo que presenta incremento del mesangio y engrosamiento de la Cápsula de Bowman. M.O.A.R.- Fucsina . 200x

 

fig 4
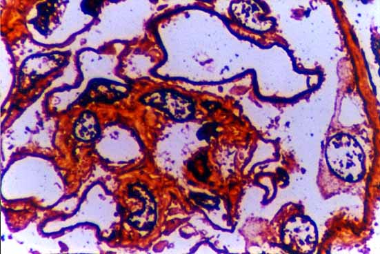
Figura 4. Detalle de un sector de glomérulo con incremento del mesangio y conservación de los capilares glomerulares. M.O.A.R. Metenamina-plata 1000x.

 

fig 5
Figura 5. Detalle de glomérulo con incremento del mesangio y conservación de los capilares. A la derecha Cápsula de Bowman y célula epitelial parietal. M.O.A.R. Metenamina-plata 1000x.

 


[TITULO] [INTRODUCCIÓN] [MATERIAL Y METODOS] [RESULTADOS] [ICONOGRAFÍA] [ICONOGRAFÍA-2] [COMENTARIOS Y DISCUSIÓN] [CONCLUSIONES] [BIBLIOGRAFÍA]

RESULTADOS

ICONOGRAFÍA-2


SESIN A. M.(*), GONGORA JARA H.(**), SESIN J.(*), MARTELLOTTO G.(**), HLIBA E.(**), GAMRON S.(x), BARBERIS G.(x), ONETTI C.M.(x)
Copyright © 1998. Reservados todos los derechos.