Comunicación
      Nº 033

IICVHAPp.gif (9537 bytes)

IndiceIndice

ENFERMEDAD DE ROSAI-DORFMAN.
Presentacion de un caso.

Agustin Chong Lopez(1), Gershom C Ejeckham(2), Abdulrazzaq Haider(2), Sheikha Al-Thani(2)

Comentarios

[TITULO] [INTRODUCCIÓN] [CASO CLÍNICO] [RESULTADOS ] [ICONOGRAFÍA] [ICONOGRAFÍA-2] [DISCUSIÓN] [BIBLIOGRAFÍA]

ICONOGRAFÍA

DISCUSIÓN


ICONOGRAFÍA-2

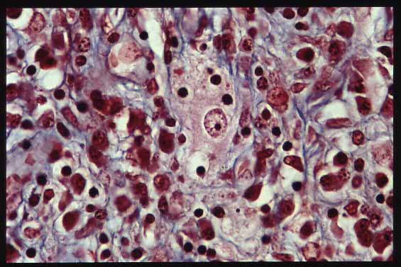
Figura 7
Figura 7. Emperipolesis. Tricrómica de Mallory. X400.

 

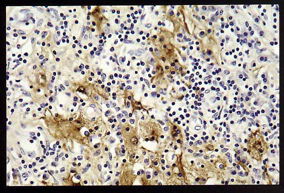
Figura 8
Figura 8. Múltiples células histiocíticas positivas para la Proteína S100. X100.

 

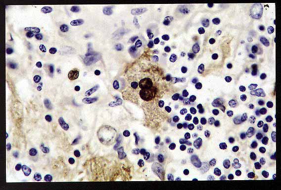
Figura 9
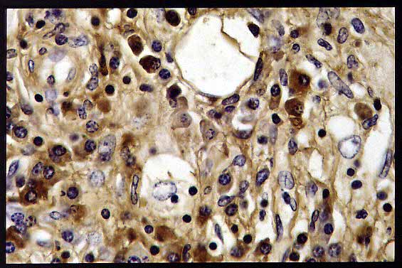
Figura 9. Se destaca la emperipolesis en una célula histiocitaria positiva para S100. X320.

 

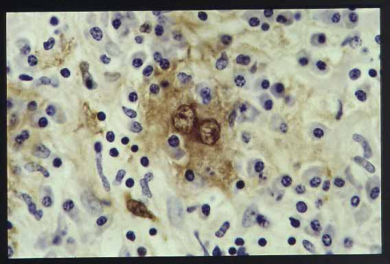
Figura 10
Figura 10. Emperipolesis. S100 X320.

 

Figura 11
Figura 11. Se muestra la población plasmocitaria positiva para cadenas ligeras Kappa en su citoplasma. Algunas células plasmáticas son negativas. Kappa. X400.

 


[TITULO] [INTRODUCCIÓN] [CASO CLÍNICO] [RESULTADOS ] [ICONOGRAFÍA] [ICONOGRAFÍA-2] [DISCUSIÓN] [BIBLIOGRAFÍA]

ICONOGRAFÍA

DISCUSIÓN


Agustin Chong Lopez(1), Gershom C Ejeckham(2), Abdulrazzaq Haider(2), Sheikha Al-Thani(2)
Copyright © 1998. Reservados todos los derechos.