Comunicación
      Nº 033

IICVHAPp.gif (9537 bytes)

IndiceIndice

ENFERMEDAD DE ROSAI-DORFMAN.
Presentacion de un caso.

Agustin Chong Lopez(1), Gershom C Ejeckham(2), Abdulrazzaq Haider(2), Sheikha Al-Thani(2)

Comentarios

[TITULO] [INTRODUCCIÓN] [CASO CLÍNICO] [RESULTADOS ] [ICONOGRAFÍA] [ICONOGRAFÍA-2] [DISCUSIÓN] [BIBLIOGRAFÍA]

RESULTADOS

ICONOGRAFÍA-2


ICONOGRAFÍA

Figura 1
Figura 1. Imagen de la pieza macroscópica.

 

Figura 2
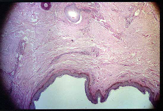
Figura 2. Esta foto panorámica muestra la epidermis y la dermis sin alteraciones. H y E X40.

 

Figura 3
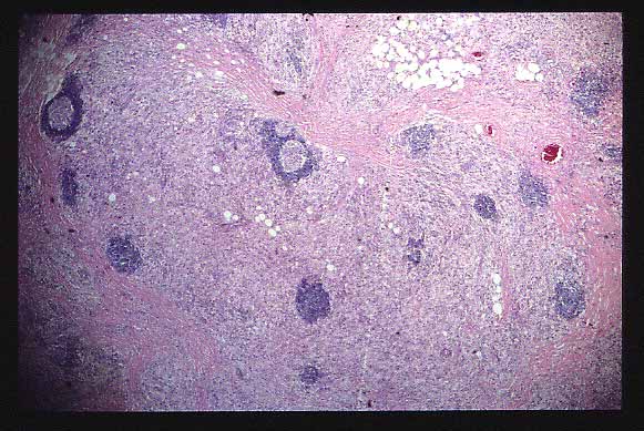
Figura 3. Se destacan las áreas histiocíticas y los tabiques fibrosos. PAS X40

 

Figura 4
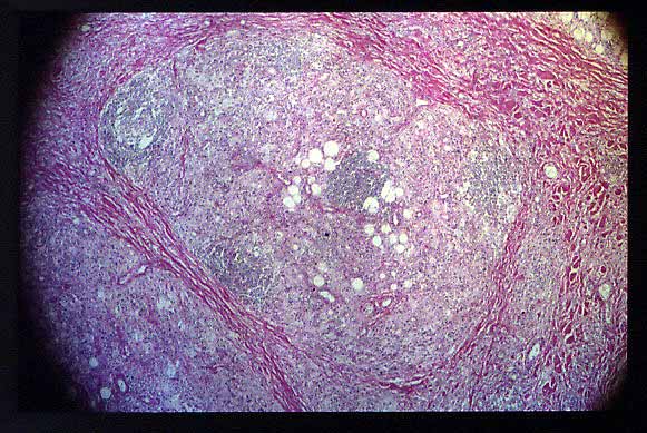
Figura 4. En este menor aumento se observan los folículos linfoides secundarios alrededor de los lóbulos histiocitarios. H y E X40

 

Figura 5
Figura 5. Observamos una importante infiltración intersticial por linfocitos y plasmocitos. H y E X100.

 

Figura 6
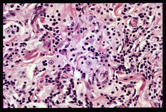
Figura 6. Células linfoplasmocitarias dentro del citoplasma de los histiocitos. H y E X200.

 


[TITULO] [INTRODUCCIÓN] [CASO CLÍNICO] [RESULTADOS ] [ICONOGRAFÍA] [ICONOGRAFÍA-2] [DISCUSIÓN] [BIBLIOGRAFÍA]

RESULTADOS

ICONOGRAFÍA-2


Agustin Chong Lopez(1), Gershom C Ejeckham(2), Abdulrazzaq Haider(2), Sheikha Al-Thani(2)
Copyright © 1998. Reservados todos los derechos.