Comunicación
      Nº 032

IICVHAPp.gif (9537 bytes)

IndiceIndice

CARCINOMA LOBULAR IN SITU (NEOPLASIA LOBULAR) EN FIBROADENOMA

J. González García, M. García Rojo, F. Martín Dávila, R. López Pérez, M. Delgado Portela, A. Puig Rullán y M. Carbajo Vicente

Comentarios

[TITULO] [INTRODUCCIÓN] [CASO CLÍNICO] [RESULTADOS] [ICONOGRAFÍA] [ICONOGRAFÍA-2] [DISCUSIÓN] [BIBLIOGRAFÍA]

ICONOGRAFÍA

DISCUSIÓN


ICONOGRAFÍA-2

fig. 5
Foto 5: la celularidad mostraba pérdida de cohesividad.

 

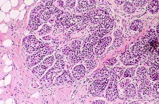
fig. 6
Foto 6: Focos de carcinoma lobular in situ en glándula mamaria adyacente al fibroadenoma.

 

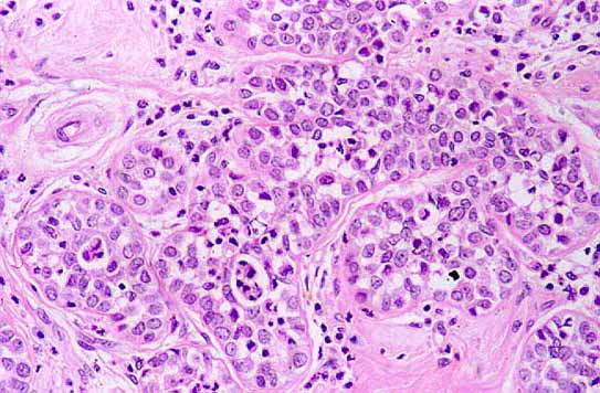
fig. 7
Foto 7: detalle a mayor aumento de la afectación del lóbulo mamario por carcinoma lobular.

 


[TITULO] [INTRODUCCIÓN] [CASO CLÍNICO] [RESULTADOS] [ICONOGRAFÍA] [ICONOGRAFÍA-2] [DISCUSIÓN] [BIBLIOGRAFÍA]

ICONOGRAFÍA

DISCUSIÓN


J. González García, M. García Rojo, F. Martín Dávila, R. López Pérez, M. Delgado Portela, A. Puig Rullán y M. Carbajo Vicente
Copyright © 1998. Reservados todos los derechos.