Comunicación
      Nº 032

IICVHAPp.gif (9537 bytes)

IndiceIndice

CARCINOMA LOBULAR IN SITU (NEOPLASIA LOBULAR) EN FIBROADENOMA

J. González García, M. García Rojo, F. Martín Dávila, R. López Pérez, M. Delgado Portela, A. Puig Rullán y M. Carbajo Vicente

Comentarios

[TITULO] [INTRODUCCIÓN] [CASO CLÍNICO] [RESULTADOS] [ICONOGRAFÍA] [ICONOGRAFÍA-2] [DISCUSIÓN] [BIBLIOGRAFÍA]

RESULTADOS

ICONOGRAFÍA-2


ICONOGRAFÍA

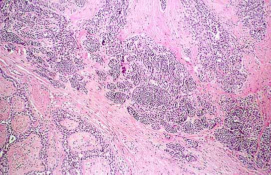
fig. 1
Foto 1: Proliferación fibroepitelial de patrón predominantemente intracanalicular.

 

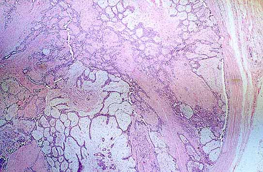
fig. 2
Foto 2: Áreas de adenosis esclerosante.

 

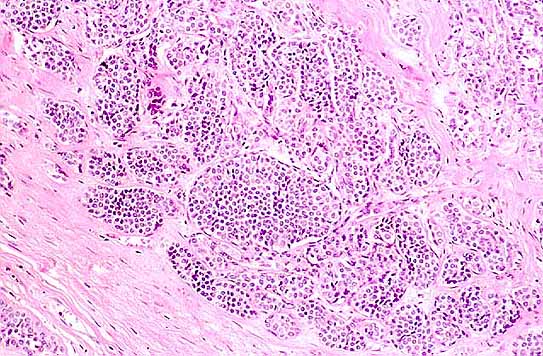
fig. 3
Fotos 3: Áreas de carcinoma lobular in situ en el fibroadenoma.

 

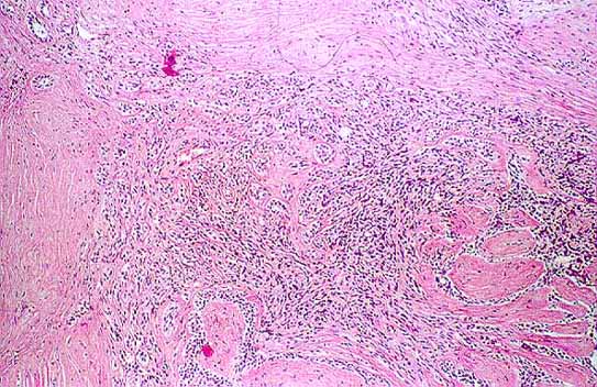
fig. 4
Foto 4: A mayor aumento proliferación de células monomorfas con pérdida de la orientación y disposición lobular.

 


[TITULO] [INTRODUCCIÓN] [CASO CLÍNICO] [RESULTADOS] [ICONOGRAFÍA] [ICONOGRAFÍA-2] [DISCUSIÓN] [BIBLIOGRAFÍA]

RESULTADOS

ICONOGRAFÍA-2


J. González García, M. García Rojo, F. Martín Dávila, R. López Pérez, M. Delgado Portela, A. Puig Rullán y M. Carbajo Vicente
Copyright © 1998. Reservados todos los derechos.