Comunicación
      Nº 024

IICVHAPp.gif (9537 bytes)

IndiceIndice

DISTROFIA MIOTONICA CONGENITA: ALTERACIONES DEL TRACTO GASTROINTESTINAL

Lucía Pérez Gallego, C. Morales Bastos, M. Gutiérrez Molina, G. Prieto*.

Comentarios

[TITULO] [CASOS CLÍNICO] [RESULTADOS] [ICONOGRAFÍA] [ICONOGRAFÍA-2] [COMENTARIOS] [BIBLIOGRAFÍA]

ICONOGRAFÍA

COMENTARIOS


ICONOGRAFÍA-2

fig. 5
Figura 5. Resto de tracto gastrointestinal: fibrosis y atrofia de las capas con interrupción.

 

fig. 6
Figura 6. Tractos de gran tamaño con neuronas de características normales.

 

fig. 7
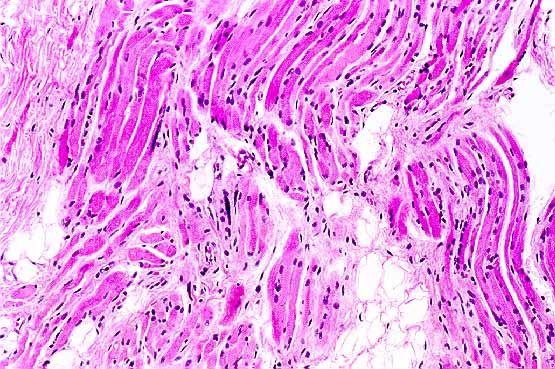
Figura 7. Lengua: Atrofia de fibras con aumento de tejido adiposo, fibras con núcleos en cadeneta, aumento de la centralización nuclear.

 

fig. 8
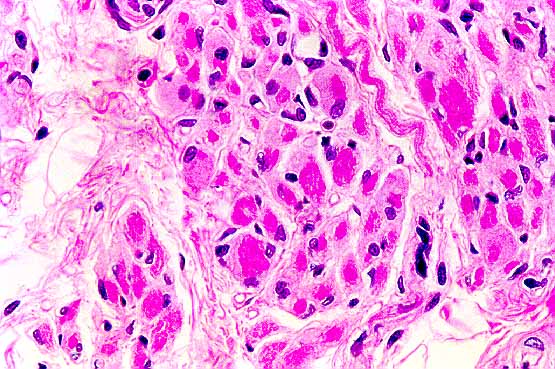
Figura 8. Mayor aumento: Fibras con núcleos en cadeneta y masas subsarcolémicas

 

fig. 9
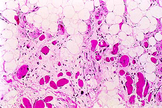
Figura 9. Intensa atrofia y sustitución adiposa del tejido muscular.

 


[TITULO] [CASOS CLÍNICO] [RESULTADOS] [ICONOGRAFÍA] [ICONOGRAFÍA-2] [COMENTARIOS] [BIBLIOGRAFÍA]

ICONOGRAFÍA

COMENTARIOS


Lucía Pérez Gallego, C. Morales Bastos, M. Gutiérrez Molina, G. Prieto*.

Copyright © 1998. Reservados todos los derechos.