Comunicación
      Nº 024

IICVHAPp.gif (9537 bytes)

IndiceIndice

DISTROFIA MIOTONICA CONGENITA: ALTERACIONES DEL TRACTO GASTROINTESTINAL

Lucía Pérez Gallego, C. Morales Bastos, M. Gutiérrez Molina, G. Prieto*.

Comentarios

[TITULO] [CASOS CLÍNICO] [RESULTADOS] [ICONOGRAFÍA] [ICONOGRAFÍA-2] [COMENTARIOS] [BIBLIOGRAFÍA]

RESULTADOS

ICONOGRAFÍA-2


ICONOGRAFÍA

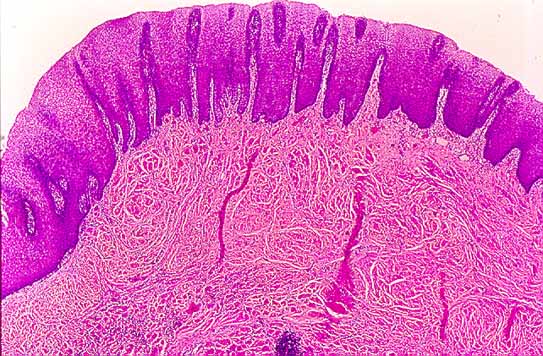
fig. 1
Figura 1. Duplicación del tubo y presencia de luz ciega en uno de ellos.

 

fig. 2a
Figura 2a. Epitelio sin alteraciones. Extensa fibrosis en lámina propia (esófago).

 

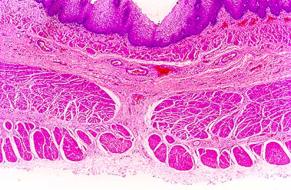
fig. 2b
Figura 2b. Esófago: Interrupción de capas musculares.

 

fig. 3
Figura 3. Presencia de tractos nerviosos de gran tamaño en situación anómala.

 

fig. 4
Figura 4. Sección a nivel de la luz ciega del esófago.

 


[TITULO] [CASOS CLÍNICO] [RESULTADOS] [ICONOGRAFÍA] [ICONOGRAFÍA-2] [COMENTARIOS] [BIBLIOGRAFÍA]

RESULTADOS

ICONOGRAFÍA-2


Lucía Pérez Gallego, C. Morales Bastos, M. Gutiérrez Molina, G. Prieto*.

Copyright © 1998. Reservados todos los derechos.