Comunicación
      Nº 013

IICVHAPp.gif (9537 bytes)

IndiceIndice

MORFOGENESIS ULTRAESTRUCTURAL DE LA CELULA COILOCITICA PRODUCIDA POR EL VIRUS PAPILOMA HUMANO (VPH)

Frede Silvia, Hliba Ernesto.

Comentarios

[TITULO] [INTRODUCCIÓN] [MATERIAL Y METODOS] [RESULTADOS] [ ICONOGRAFIA] [ ICONOGRAFIA-2] [COMENTARIOS Y DISCUSION] [BIBLIOGRAFIA]

 ICONOGRAFIA

COMENTARIOS Y DISCUSION


ICONOGRAFIA-2

FIGURA N º6
FIGURA Nº6.- CELULA PARABASAL CON VACUOLAS INTRACITOPLASMATICAS QUE TIENEN A CONFLUIR. EL NUCLEO POSEE INDENTACIONES Y NUCLEOLO PROMINENTE. AUMENTOS ORIGINALES 7500X

 

FIGURA N º 7
FIGURA Nº7.- CELULAS DEL ESTRATO INTERMEDIO. OBSERVESE LA GRAN CAVIDAD EN EL CITOPLASMA. AUMENTOS ORIGINALES 5000X

 

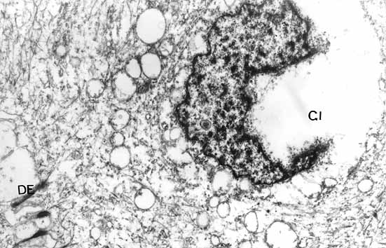
FIGURA Nº 8
FIGURA Nº8.- CELULA DEL ESTRATO SUPERFICIAL CON NUCLEO INDENTADO. DENTRO DEL NUCLEOPLASMA SE OBSERVAN PARTICULAS VIRICAS. AUMENTOS ORIGINALES 7000 X

 

FIGURA Nº9
FIGURA Nº9.- VIRIONES CORRESPONDIENTES A UN SECTOR DE LA FIG. ANTERIOR . SE OBSERVA SU FORMA REDONDEADA,ELECTRON-DENSAS DISTRIBUIDAS EN ACUMULOS O EN FORMA AISLADA. AUMENTOS ORIGINALES 24000 X

 


[TITULO] [INTRODUCCIÓN] [MATERIAL Y METODOS] [RESULTADOS] [ ICONOGRAFIA] [ ICONOGRAFIA-2] [COMENTARIOS Y DISCUSION] [BIBLIOGRAFIA]

 ICONOGRAFIA

COMENTARIOS Y DISCUSION


Frede Silvia, Hliba Ernesto.
Copyright © 1998. Reservados todos los derechos.