Comunicación
      Nº 013

IICVHAPp.gif (9537 bytes)

IndiceIndice

MORFOGENESIS ULTRAESTRUCTURAL DE LA CELULA COILOCITICA PRODUCIDA POR EL VIRUS PAPILOMA HUMANO (VPH)

Frede Silvia, Hliba Ernesto.

Comentarios

[TITULO] [INTRODUCCIÓN] [MATERIAL Y METODOS] [RESULTADOS] [ ICONOGRAFIA] [ ICONOGRAFIA-2] [COMENTARIOS Y DISCUSION] [BIBLIOGRAFIA]

RESULTADOS

 ICONOGRAFIA-2


ICONOGRAFIA

FIGURA Nº 1
FIGURA Nº1.- CELULAS COILOCITICAS CON ATIPIA LEVE. LOS NUCLEOS RESALTAN EN UNA GRAN CAVIDAD. COLORACION DE PAPANICOLAOU. AUMENTOS ORIGINALES 160X

 

FIGURA Nº 2
FIGURA Nº2.- ELEMENTOS ANUCLEADOS QUE ALTERNAN CON CELULAS COILOCITICAS. CORTE DE UNA MICRA PROCESADO PARA MET Y COLOREADO CON METERAMINA PLATA. AUMENTOS ORIGINALES 200X

 

FIGURA Nº 3
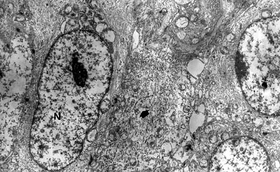
FIGURA Nº3.- CELULA DEL ESTRATO BASAL CON ATIPIA SEVERA. OBSERVESE EL NUCLEOLO EN MADEJA. DENTRO DEL CITOPLASMA SE OBSERVAN PEQUEÑAS VACUOLAS PERINUCLEARES Y CIERTO AGRUPAMIENTO DE LOS TONOFILAMENTOS. (ASTERISCO)

 

FIGURA N º 4
FIGURA Nº4.- CELULAS BASALES CON NUCLEOS DE FORMA POLIGONAL. NUCLEOLOS PROMINENTES. EN EL CITOPLASMA EXISTE CIERTA POLARIZACION DE LOS TONOFILAMENTOS (FLECHA) Y AUMENTO DEL ESPACIO INTERCELULAR. AUMENTOS ORIGINALES 7500 X

 

FIGURA Nº 5
FIGURA Nº5.- CELULAS PARABASALES CON INTENSA VACUOLIZACION ,PERDIDA DE TONOFILAMENTOS Y NUCLEOS INDENTADOS. AUMENTOS ORIGINALES 3500X

 


[TITULO] [INTRODUCCIÓN] [MATERIAL Y METODOS] [RESULTADOS] [ ICONOGRAFIA] [ ICONOGRAFIA-2] [COMENTARIOS Y DISCUSION] [BIBLIOGRAFIA]

RESULTADOS

 ICONOGRAFIA-2


Frede Silvia, Hliba Ernesto.
Copyright © 1998. Reservados todos los derechos.