Comunicación
      Nº 011

IICVHAPp.gif (9537 bytes)

IndiceIndice

TUMOR AUTONOMICO GASTROINTESTINAL
Presentacion de cinco casos

*LESPI, Pablo Javier, +DRUT, Ricardo

Comentarios

[TITULO] [INTRODUCCIÓN] [MATERIAL Y MÉTODOS] [RESULTADOS] [ICONOGRAFÍA] [ICONOGRAFÍA-2] [DISCUSIÓN] [BIBLIOGRAFÍA]

ICONOGRAFÍA

DISCUSIÓN


ICONOGRAFÍA-2

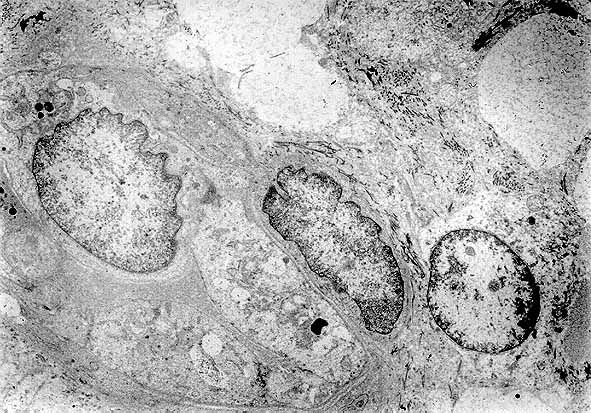
fig. 6
Figura 6. Uniones simples, vesículas vacías y algunos gránulos neuroendócrinos. (x8000).

 

fig. 7a
Figura 7a. Se identifican numerosas vesículas vacías. (x20000).

 

fig. 7b
Figura 7b. Numerosos gránulos de corazón denso. (x20000).

 

fig. 8
Figura 8. Fibras skenoides. (x20000).

 


[TITULO] [INTRODUCCIÓN] [MATERIAL Y MÉTODOS] [RESULTADOS] [ICONOGRAFÍA] [ICONOGRAFÍA-2] [DISCUSIÓN] [BIBLIOGRAFÍA]

ICONOGRAFÍA

DISCUSIÓN


*LESPI, Pablo Javier, +DRUT, Ricardo
Copyright © 1998. Reservados todos los derechos.