Comunicación
      Nº 011

IICVHAPp.gif (9537 bytes)

IndiceIndice

TUMOR AUTONOMICO GASTROINTESTINAL
Presentacion de cinco casos

*LESPI, Pablo Javier, +DRUT, Ricardo

Comentarios

[TITULO] [INTRODUCCIÓN] [MATERIAL Y MÉTODOS] [RESULTADOS] [ICONOGRAFÍA] [ICONOGRAFÍA-2] [DISCUSIÓN] [BIBLIOGRAFÍA]

RESULTADOS

ICONOGRAFÍA-2


ICONOGRAFÍA

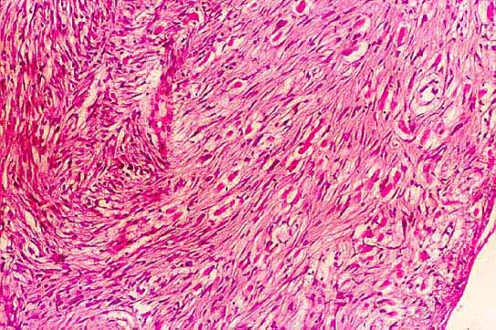
fig. 1
Figura 1. Haces cortos de células ahusadas con un plexo vascular prominente. (H-E x100).

 

fig. 2
Figura 2. Depósitos hialinos globulares denominados fibras skenoides. (H-E x100).

 

fig. 3
Figura 3. Difusa positividad para vimentina. (x40).

 

fig. 4
Figura 4. Negatividad para actina de músculo liso. (x40).

 

fig. 5
Figura 5. Hegatividad para S100. (x40).

 


[TITULO] [INTRODUCCIÓN] [MATERIAL Y MÉTODOS] [RESULTADOS] [ICONOGRAFÍA] [ICONOGRAFÍA-2] [DISCUSIÓN] [BIBLIOGRAFÍA]

RESULTADOS

ICONOGRAFÍA-2


*LESPI, Pablo Javier, +DRUT, Ricardo
Copyright © 1998. Reservados todos los derechos.