Comunicación
      Nº 010

IICVHAPp.gif (9537 bytes)

IndiceIndice

CARCINOMA BASALOIDE DEL ESOFAGO
Presentación de 7 casos con estudio inmunohistoquimico

*LESPI, Pablo Javier, +DRUT, Ricardo

Comentarios

[TITULO] [INTRODUCCIÓN] [MATERIAL Y MÉTODOS] [RESULTADOS] [ICONOGRAFÍA] [ICONOGRAFÍA-2] [DISCUSIÓN] [BIBLIOGRAFÍA]

ICONOGRAFÍA

DISCUSIÓN


ICONOGRAFÍA-2

fig. 5
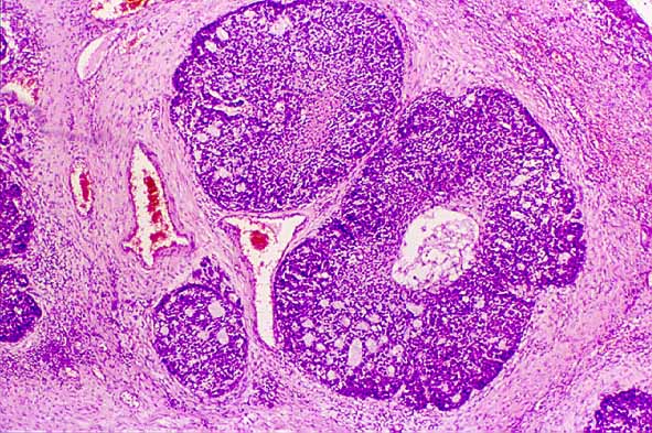
Figura 5. Lóbulos tumorales con pequeños quistes conteniendo material mucinoso (H E, x 40).

 

fig. 6
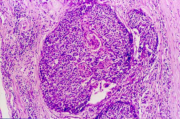
Figura 6. Carcinoma basaloide con focos de queratinización abrupta (H E, x 100).

 

fig. 7
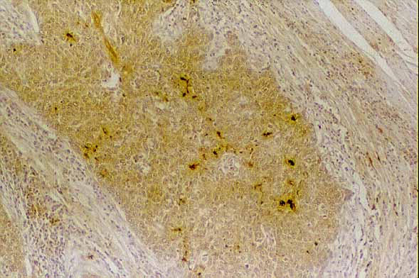
Figura 7. Numerosas células estrelladas (histiocitos de Langerhans) en el interior de un nido tumoral (S100, x 40).

 


[TITULO] [INTRODUCCIÓN] [MATERIAL Y MÉTODOS] [RESULTADOS] [ICONOGRAFÍA] [ICONOGRAFÍA-2] [DISCUSIÓN] [BIBLIOGRAFÍA]

ICONOGRAFÍA

DISCUSIÓN


*LESPI, Pablo Javier, +DRUT, Ricardo
Copyright © 1998. Reservados todos los derechos.